
First of all, it is important to know what exactly is meant by “the best.”

The location is unusual, but the appearance is characteristic. Your dx?

Why do committees set up to foster physician wellness often sputter and often die a quick death? Family physician and burnout coach Dr Dike Drummond reviews the reasons, and offers practical solutions. Read more, here.

Would you worry about this asymptomatic lesion? What are the symptoms of achalasia? Test your clinical mettle against this week's 5 questions.

Chilblains (Pernio) is typically caused by an abnormal vascular response to non-freezing cold exposure.

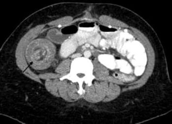
Cutaneous hyperpigmentation and papules coupled with active GI bleeding and a submucosal mass. What’s the diagnosis-and the chief clinical concern?

Black hairy tongue is benign and self-limited. It is caused by abnormal hypertrophy and elongation of filiform lingual papillae with associated discoloration.

Among the disorders in the spotlight this week: intussusception, Celiac disease, sickle cell disease. See how well you do.

Black hairy tongue is characterized by an abnormal hypertrophy and elongation of filiform lingual papillae with an associated “brown” or “black” discoloration.

In a recent study, both baseline and new multiple chronic conditions led to worse health in older patients.

Here: tips from top articles culled from the emergency medical literature, with take-home lessons for primary care.

What do physicians think about medical cannabis? Here: 271 doctors weigh in, with widely varying opinions.

This week: 3 questions on GI disorders, 1 Pneumonia, and the link between the brain and pain. Can you answer all 5 questions?

Antifungal creams haven't made a dent in this intermittent rash. What is this lesion?

Attention to detail and a systematic approach combined with the knowledge and use of specific diagnostic exam tests will help minimize missing common orthopedic soft tissue injuries. Tips here.

Awareness of medical conditions and drugs that can suppress the immune system or cause other complications is key to providing safe and appropriate care for immunosuppressed patients. Details here.

Parents with overweight children did not perceive the extra weight as a health risk.

Peanut butter and a ruler may turn out to be tools that offer an inexpensive, sensitive, and specific olfactory means of screening for Alzheimer disease. Details here.
Basal cell carcinoma often has a distinct appearance: a waxy bump that is pearly or translucent, with a rolled border is classic. But its appearance can raise suspicion for other conditions-mainly melanoma. Here are some examples of typical and atypical BCCs.

A significant proportion of patients who visit emergency departments (EDs) with opioid overdoses (ODs) also suffer from comorbid mental health disorders, circulatory diseases, and respiratory diseases, according to the results of a new study presented on October 14, 2013, at the American College of Emergency Physicians annual meeting in Seattle.