
Minor subjective memory problems are very common among men-young as well as old-a new study shows.

Minor subjective memory problems are very common among men-young as well as old-a new study shows.

An innovative study targeted a group of men who often find it difficult to lose weight.

Marriage is good for the health of some men's bones, says the first study to link marital history and quality of marriage to bone health.

This study is the first to provide evidence that high levels of sedentary time, even among physically active men, places them at risk for heart failure.

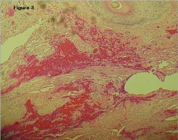
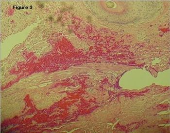
A 32-year-old man with no significant medical history presents with multiple scrotal lesions that he claims have been present for 2 years. They are non-tender and he reports no overt symptoms. The full case, here.

Depression is common among HIV-positive patients, and clearly affects adherence. Treating depression improves adherence, but is also justified in its own right as improperly treated depression can be as devastating as inadequately treated AIDS.

(AUDIO) In a brief podcast, the director of the University of North Carolina infectious diseases center ponders the implications of new HIV strains that lead to AIDS symptoms significantly faster than in the past. To him, the response is obvious. What troubles him is that not everyone seems to sense the urgency

Physicians are no strangers to the pen and have made invaluable contributions to world literature. Here, the story of a 21st-century internist-author who is firmly rooted in both worlds.

A 27-year-old woman intermittently experiences painful oral lesions such as this one on her upper lip. Your impression?

Headaches have been awakening a man in his mid-40s at about 3 in the morning for a period of 2 weeks. On this, his second visit to the ED for the symptom, he claims numbness in one arm and reports vomiting earlier that evening. More details of the case, here.


A 34-year-old woman presents for follow-up of her type 2 diabetes mellitus and starts therapy with lisinopril. She thinks she also may be pregnant. What is the problem?

Men with high testosterone levels may have weakened immune systems, which may be why their immune systems respond less strongly to vaccinations.

A beautiful baby with a yellow plaque. . . . idiopathic chilblains . . . 5 questions here to challenge you.

Men who played a varsity sport in high school tend to be healthier than those who did not, according to a new study.

(AUDIO) The past year has been revolutionary for HIV-positive patients, both in medical care and in policy. And more is in store for the coming year, according to Dr. Michael Horberg of Kaiser Permanente. Listen as the immediate past president of the HIV Medicine Association briefly reviews events of 2013 and forecasts 2014.

About one-third of HIV-infection individuals show abnormal kidney function, particularly African-Americans. The watchword of prevention and treatment is screening and early, effective use of antiretroviral therapy.

Regular exercise; no smoking; and maintaining a low body weight, a healthy diet, and low alcohol intake may reduce the risk significantly.

Antimicrobials delivered in the products already used during sexual activity show great promise for protecting particularly vulnerable individuals against transmission of HIV.