
All News



Dr. Brian Witcombe, a consultant radiologist at Gloucestershire Royal Hospital, collaborated with Dan Meyer, executive director of the Sword Swallowers' Association International on the study. Interviews with experienced sword swallowers revealed that lower chest pain, often lasting days, followed some performances.

In many instances, our patients receive invasive and aggressive subspecialty care at or near the end of life. Such care can become burdensome and painful without a favorable outcome. As advocates for our patients, we must ensure that their pain, shortness of breath, and other bothersome symptoms are alleviated, thus leading to a “good death.”

Substance abuse, especially injection drug abuse, is often associated with chronic infectious diseases, including HIV infection, hepatitis B, hepatitis C, and tuberculosis. Delivery of effective treatment for these chronic conditions can be very challenging in patients who continue to abuse substances.

Beans are a super healthy, super versatile, super affordable food. Beans are high in antioxidants, fiber, protein, B vitamins, iron, magnesium, potassium, copper and zinc. Eating beans regularly may decrease the risk for diabetes, heart disease, and colorectal cancer and helps with weight management.

For 10 weeks, a 34-year-old woman had refractory sinusitis, epistaxis, painful sores in her mouth with erosions in the nasal cartilage and palate, and otitis media in the left ear.

Your patient is a previously sedentary, overweight 39-year-old woman who has recently taken up running. She now presents with pain and swelling anteroinferior to the lateral malleolus after she twisted her ankle while running on uneven pavement 1 day earlier. Your diagnosis: an uncomplicated lateral ankle sprain.

Measure your cycle time from patient entry to patient exit.

When dealing with children, I always try to sit so that I am at eye level with them.

Discussions that focus on health care costs have created a specialized vocabulary, such as comparative effectiveness research. The concept undergirding this field may be defined as “the conduct and synthesis of research comparing the benefits and harms of different interventions and strategies to prevent, diagnose, treat, and monitor health conditions in ‘real world’ settings.”


Overcrowded emergency departments (EDs) reflect a system-wide patient flow problem. Although there are multiple reasons for bottlenecks in flow, the inability to transfer patients to inpatient beds is a major factor.

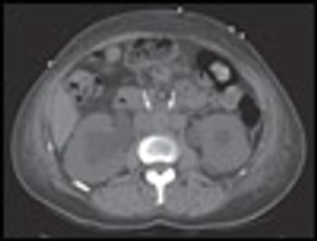
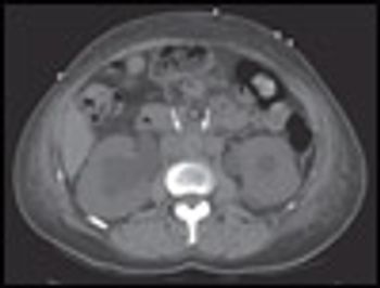
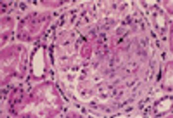
For about 2 weeks, a 61-year-old woman with diet-controlled diabetes and hypertension had fatigue and generalized weakness. For the past 3 months, she had had poorly localized back pain and bilateral flank pain. She denied dysuria, fever, decreased urinary output, or weight loss.

Provide a better seal than regular plastic wrap or plastic bags

Many people have difficulty with completing the section of our office’s patient information sheet that asks for a complete list of their current medications.

Which antibiotics are most likely to cause a clinically significant drug interaction in elderly patients who are receiving warfarin?

In the December 14, 2009, issue of The New Yorker magazine, Atul Gawande observed, “Cost is the specter haunting health care reform.” The idea (or better, mantra?) of cost as central to health care’s reform is not new but is surely a topic that demands this generation’s consideration. Most of the economic debate has been general, looking at national “bottom lines” rather than focusing on the “dollars and cents” of individual diseases. Let’s take a sobering look at rising costs in the context of specific diseases, beginning with psoriasis.

