
In the United States, an estimated 150,000 to 300,000 people are infected with both HIV and hepatitis C virus (HCV), representing about 15% to 30% of all persons living with HIV infection1,2 and 70% to 90% of injection drug users

In the United States, an estimated 150,000 to 300,000 people are infected with both HIV and hepatitis C virus (HCV), representing about 15% to 30% of all persons living with HIV infection1,2 and 70% to 90% of injection drug users

The HIV epidemic was discovered in the early 1980s, and the response from the medical community was remarkable. Health care providers committed their time and careers to the cause of a group of people afflicted with an unknown and fatal illness.

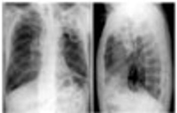
In plombage therapy for pulmonary TB, polymerized methyl methacrylate, or Lucite, balls were inserted into the chest to collapse the lung and to maintain adequate thoracic expansion.

Flesh-colored splinters can be devilishly difficult to extract, mainly because locating them is such a challenge. A drop of iodine or povidoneiodine stains the splinter and makes it easier to find-and at the same time provides antisepsis.

A 10-year-old boy stubbed his toe while running upstairs barefoot. He presented with tenderness, swelling, and ecchymosis of the left great toe and bleeding in and around the nail fold (A). Radiographs of the left foot revealed a Salter-Harris II fracture of the distal phalanx (B).

A 13-year-old girl felt a “pop” while doing a split during gymnastics. She later complained of right hip pain and inability to bear weight on the right leg.

After a fall during a soccer match 2 weeks earlier, a 26-year-old woman had pain of the right midfoot, with moderate swelling. The pain was aggravated with a normal gait and alleviated with an antalgic gait, specifically with inversion of the right ankle such that most of the weight from heel-strike through toe-off transmitted forces from the lateral calcaneus through the fifth metatarsus to the fifth phalanx.

The case concerns a patient with eosinophilic meningitisattributed to the helminthic parasite Angiostrongyluscantonensis. Before the onset of illness, our patient had ahistory of travel to Hawaii, the only area in the United Stateswhere A cantonensis is endemic. Finding eosinophils in thecerebrospinal fluid (CSF) can narrow the differential diagnosisin a patient with meningitis. In our patient, the proportion ofeosinophils in the CSF was 55%. The case is unique because thepatient was a strict vegetarian. This infection usually developsin persons who inadvertently ingest snails or slugs that containthe parasite. [Infect Med. 2008;25:366-368]

Every day, patients seek treatment for eye infections, which have a variety of causes and can affect any part of the eye. Eye infections usually are treated aggressively, because seemingly benign infections can quickly become serious and threaten vision. Symptoms that indicate an eye infection include chronic redness, persistent pruritus, flaking of the eyelid, eye discomfort or pain, blurred vision, eye discharge, and edema of ocular tissue. The following disease descriptions and case vignettes highlight a variety of eye infections, both common and uncommon, with which patients may present.

Rhodococcus equi is an emerging human pathogen. It is mostfrequently associated with pulmonary infections; however,manifestations may be protean. It can be easily mistaken fora diptheroid-like contaminant or a mycobacterium. Therefore,a high suspicion of R equi infection and specialized testing areencouraged. Vancomycin-based therapy is recommended.Because human infection with this organism is uncommon,thorough reporting will help identify further characteristicsof infection and will help in devising treatment guidelines.[Infect Med. 2008;25:391-393

A 41-year-old African American man presented with the chief complaint of a constant, dull headache for 3 days. The headache had a gradual onset and was associated with nausea and mild neck stiffness that was not relieved by acetaminophen. The man denied experiencing visual disturbances, fever, night sweats, weight loss, cough, shortness of breath, emesis, or weakness. He had no recent history of trauma or sick contacts.

AS IF WE DID NOT ALREADYknow, overcrowding and understaffingin hospitals play key rolesin the spread of methicillin-resistantStaphylococcus aureus (MRSA) infection.Data culled from a literaturereview of 140 articles suggest thatovercrowding and understaffingresult in having too few staff membersserving too many patientswithout sufficient time resources.The consequences are overexposureof a single health care worker topatient contacts and lapses inhygiene on the part of health carepersonnel who literally have toomuch responsibility-among otherthings-on their hands.

Most travelers to third-world countries encounter healthrelatedproblems during their stay and may require medicalattention on returning home. Although malaria is still themost common diagnosis among travelers to the developingworld, several other infectious diseases, such as avian influenza,dengue fever, chikungunya fever, leishmaniasis, andmultidrug-resistant tuberculosis, are growing in importance.Clinicians need to stay informed about travel requirementsand vaccine recommendations for US citizens. [Infect Med.2008;25:352-386]

A new study confirmed the value of real-time polymerase chain reaction (PCR) assay as a rapid method of screening for group B streptococci (GBS) colonization during parturition.1 Using real-time automated PCR assay, DNA amplification testing, and standard culture, Edwards and colleagues1 comparatively looked at the detection of GBS colonization in women who were in the 35th to 37th week of pregnancy and in women who were about to give birth. A true-positive result was defined as a positive molecular test and a positive culture finding. Compared with culture, the sensitivity rate of PCR was 91.1%, the specificity was 96.0%, the predictive value was 87.8%, the negative predictive value was 97.1%, and the accuracy was 94.8%. As anticipated, PCR assay was more sensitive than DNA amplification testing (91.1% vs 79.3%). Neither specificity, positive predictive value, nor detection of GBS prevalence was statistically divergent.

ABSTRACT: Patients with rheumatoid arthritis (RA) often havepulmonary manifestations, such as interstitial lung disease.The most common cause of upper airway obstruction is cricoarytenoidarthritis. Patients often complain of a pharyngeal foreign-body sensation or hoarseness, but some present with severestridor. Bronchiolitis obliterans is characterized by a rapidonset of dyspnea and dry cough, with inspiratory rales andsqueaks on examination. This presentation, particularly in middle-aged women with seropositive disease, distinguishes bronchiolitisobliterans from other pulmonary manifestations ofRA. High-resolution CT may be more sensitive than pulmonaryfunction tests for detecting small-airways disease, and it frequentlyshows moderate to severe air trapping on expiratoryimages. (J Respir Dis. 2008;29(8):318-324)

We describe a case of sulfasalazine-induced pneumonitis ina complex medical patient.This case illustrates the potentialfor drug-induced pulmonarydisease and the vigilanceneeded in evaluating patientswith subacute respiratory decompensation.Proper recognitionand treatment mostlikely prevented the progressionof acute respiratory failureand, possibly, irreversiblelung injury or death.

A 35-year-old woman presented to the emergency department (ED) with vague abdominal complaints. The patient had a complex medical history that included diverticulosis and relapsing polychondritis. Initially, her polychondritis was limited to involvement of the ears and nose. Within the past few years, however, her polychondritis flares had been associated with progressive dyspnea, which prompted intermittent and then long-term use of high-dose oral corticosteroids.

ABSTRACT: The most common causes of chylothorax are neoplasm-particularly lymphoma-and trauma. The usual presentingsymptom is dyspnea resulting from the accumulationof pleural fluid. The diagnosis of chylothorax is established bymeasuring triglyceride levels in the pleural fluid; a triglyceridelevel of greater than 110 mg/dL supports the diagnosis. The initialapproach to management involves chest tube drainage ofthe pleural space. The administration of medium-chain triglyceridesas a source of fat is often useful. If drainage remains unchanged,parenteral alimentation should be started. Surgicalintervention is indicated if conservative management is notsuccessful or if nutritional deterioration is imminent. If chylothoraxpersists after ligation of the thoracic duct, options mayinclude percutaneous embolization, pleuroperitoneal shunt,and pleurodesis. (J Respir Dis. 2008;29(8):325-333)

I have seen conflicting recommendations concerning the use of throat cultures and empirical antibiotic therapy in patients with pharyngitis. When do you consider throat cultures to be indicated? Are your recommendations different for children than for adults?

What's Your Diagnosis - Continuing Medical Education Credit