
My patient has diabetes, end-stage renal disease, and congestive heart failure (CHF)--and does not want to use insulin. What oral medication(s) would be considered optimal in this setting?

My patient has diabetes, end-stage renal disease, and congestive heart failure (CHF)--and does not want to use insulin. What oral medication(s) would be considered optimal in this setting?

A 44-year-old African American woman presented to the emergency department with constipation of 4 days' duration. She also complained of a sticking sensation in her throat over the past year and dysphagia to solids but not liquids. Over the past 2 years, she had an unintentional 40-lb weight loss, which she attributed to decreased appetite.

For patients who require long-term antibiotic therapy (eg, for acne or rosacea), suggest that they regularly eat yogurt or take Lactobacillus acidophilus to reduce the risk of yeast infections and diarrhea. L acidophilus is available at health food stores and in many pharmacies. An added benefit of recommending acidophilus: it demonstrates an openness to more "natural" approaches, and this often improves relationships with patients.

Early acute treatment of epileptic emergencies may help prevent brain damage. "Don't wait to get the patient to the emergency department [ED]. The longer one waits to treat, the higher the chance for morbidity and mortality," said John M. Pellock, MD, chair of the Division of Child Neurology, Virginia Commonwealth University in Richmond, at the June 2006 meeting of the American Epilepsy Society (AES).

I provide a strainer for my patients with kidney stones to use when they urinate. However, if they don't have this with them, I tell them that they can use paper strainers from the paint department of a hardware store, a fine mesh kitchen strainer, or even disposable coffee filters.

I have been able to spend more time with my patients--and they are more satisfied with my care--since I started writing up my visits on preprinted forms. The forms are designed to minimize writing and maximize coding. They thus permit listening and writing at the same time; when I leave the examining room, my work is complete. An added bonus: we save thousands of dollars a year on dictation transcription costs.

ABSTRACT: Lipid abnormalities are extremely prevalent among the elderly, a group at very high risk for cardiovascular disorders. Accordingly, the treatment guidelines of the National Cholesterol Education Program Adult Treatment Panel do not suggest that lipid management be any less aggressive in older patients than in younger ones. Management decisions focus on the calculated low-density lipoprotein cholesterol level as part of a full fasting lipid panel. Dietary counseling remains an important element in the management of lipid disorders, but almost all elderly patients require medications to reach their lipid goals. The statins are the mainstay of treatment for most patients, but some will require additional agents, such as a fibrate, niacin, ezetimibe, fish oil, or a bile acid sequestrant.

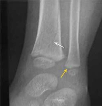
A 16-month-old toddler was brought to the emergency department after he and the sibling who was carrying him fell down a flight of stairs. The child had not been able to bear weight on his left ankle since the fall and resisted his mother's efforts to put on his shoe. Prior medical records showed no history of broken bones or evidence of past abuse or questionable injuries.

In patients with diabetes who have end-stage renal disease and CHF, the choice of oral medications is limited because metformin is contraindicated. Glipizide has a 5% renal clearance and is relatively safe. Studies suggest that glimepiride is the safest of the sulfonylureas.

Early acute treatment of epileptic emergencies may help prevent brain damage. The longer one waits to treat, the higher the chance for morbidity and mortality.

ABSTRACT: Lipid abnormalities are extremely prevalent among the elderly, a group at very high risk for cardiovascular disorders. Accordingly, the treatment guidelines of the National Cholesterol Education Program Adult Treatment Panel do not suggest that lipid management be any less aggressive in older patients than in younger ones. Management decisions focus on the calculated low-density lipoprotein cholesterol level as part of a full fasting lipid panel. Dietary counseling remains an important element in the management of lipid disorders, but almost all elderly patients require medications to reach their lipid goals. The statins are the mainstay of treatment for most patients, but some will require additional agents, such as a fibrate, niacin, ezetimibe, fish oil, or a bile acid sequestrant.

For patients who require long-term antibiotic therapy suggest they eat yogurt or take Lactobacillus acidophilus to reduce the risk of yeast infections and diarrhea.

I have started writing up my visits on preprinted forms designed to minimize writing and maximize coding thus permiting listening and writing at the same time.

A patient with kidney stones can use paper strainers from the paint deparment of a hardware store, kitchen strainer, or coffee filters when they urinate if they don't have the stainer that was provided.

A 16-month-old toddler was brought to the emergency department after he and the sibling who was carrying him fell down a flight of stairs. The child had not been able to bear weight on his left ankle since the fall and resisted his mother's efforts to put on his shoe. Prior medical records showed no history of broken bones or evidence of past abuse or questionable injuries.

STANFORD, Calif. -- Gleevec (imatinib), the targeted leukemia drug, appears to prevent and reverse rheumatoid arthritis in a mouse model, researchers here reported, apparently by inhibiting proteins involved in inflammation.

STANFORD, Calif. -- Gleevec (imatinib), the targeted leukemia drug, appears to prevent and reverse rheumatoid arthritis in a mouse model, researchers here reported, apparently by inhibiting proteins involved in inflammation.

MONTREAL -- Quality assurance in cardiac imaging requires that the individual modalities are used appropriately. Appropriateness guidelines are being developed for both clinicians and payers.

MONTREAL -- Quality assurance in cardiac imaging requires that the individual modalities are used appropriately. Appropriateness guidelines are being developed for both clinicians and payers.

ROCKVILLE, Md. -- The FDA said today that will convene a special meeting of an advisory committee to assess new data about "small but significant" increases in the rate of death and myocardial infarction among patients treated with drug-eluting stents.