
Because of the potential harm they pose to patients, prescribing errors continue to be a focus of attention in the medical literature.1-4 Indeed, the primary impetus for the creation of this column was to help prevent these errors.

Because of the potential harm they pose to patients, prescribing errors continue to be a focus of attention in the medical literature.1-4 Indeed, the primary impetus for the creation of this column was to help prevent these errors.

Q:Should I avoid angiotensin-converting enzyme (ACE) inhibitors in mypatients with progressive renal insufficiency?

Q:Many of my patients appear to have white-coathypertension: their pressure is elevated whenmeasured in my office-but normal when measured athome. Am I ignoring significant hypertension if I do nottreat these patients? Or am I overtreating if I do treat?

An otherwise healthy 18-month-old boy presented with palpable purpura over the legs, arms, and buttocks; his face, neck, and trunk were spared. The patient was otherwise asymptomatic, alert, and playful. His mother reported that the child had a “stuffy nose and cough” 1 month earlier.

Over the past 20 years, obesity has reached epidemic proportions in the United States and throughout the world. The need for effective prevention and treatment is thus more urgent than ever.

Recently the CDC updated its guidelines for treating sexually transmitted diseases (STDs). This article focuses on genital herpes simplex virus (HSV) infection and human papillomavirus (HPV) infection.

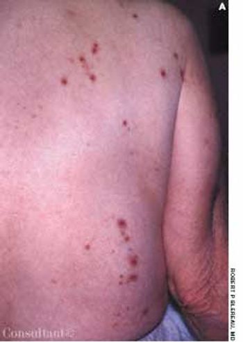
Highly pruritic, 2- to 4-mm, papular lesions with central ulceration erupted on the back of a 66-year-old woman. She had had 2 similar outbreaks in the past. The patient was taking conjugated estrogens, alprazolam, and alendronate.

A 76-year-old woman had a 40-year history of rheumatoid arthritis (RA). She had repeatedly refused treatment with disease-modifying drugs, including methotrexate. Nodules began to develop 15 years after the initial diagnosis; they recurred after surgical removal.

Affected infants present shortly afterbirth with a large bowel obstructionsecondary to transient dysmotility inthe descending colon. Although thecause is unknown, immaturity of thecolonic myenteric plexuses has beendemonstrated in some cases. Morethan 50% of affected infants are bornto mothers with diabetes. Other predisposingfactors include hypoglycemiaand sepsis.

The extent of mucosal or transmural intestinal necrosis varies. Pneumatosis progresses from the submucosa through the muscular layer to the subserosa. The distal ileum and proximal colon are most frequently involved.

This condition, which accounts forabout 30% of cases of intestinal obstructionamong neonates, is characterizedby the inspissation of thick,tenacious meconium in the bowel.The most common cause is cystic fibrosis;approximately 6% to 20% of infantswith cystic fibrosis have meconiumileus. Hyperviscous mucus secretedby abnormal intestinal glands,an abnormal concentrating processin the proximal small intestine, and adeficiency of pancreatic enzymeshave been implicated in the pathogenesis.The histologic hallmark is distention of the gobletcells in the intestinal mucosa.

Inspissated, sticky, immobile meconiumcauses this transient form of distalcolonic or rectal obstruction in newborns.The incidence has been estimatedat 1 in 500 to 1000 live births.The condition is thought to resultfrom dehydration of the meconium.

A 72-year-old man presented after several months of dyspepsia and 1 day of hematemesis. He was not taking NSAIDs.

Syndrome The mother of a 7-year-old boy with cardiofaciocutaneous syndrome sought treatment for the cutaneous aspects of her son’s disease. Dry skin and keratosis pilaris of the upper outer arms were noted. Cardiofaciocutaneous syndrome- a rare autosomal dominant genetic disorder-had been diagnosed when the child was 3 years old.

An 83-year-old man witha history of hypertensionand coronary arterydisease presented with a4-day history of mentalstatus changes, slurred speech, anddifficulty ambulating. He reported alack of appetite and weakness of severaldays.

This patient with long-standing insulin-dependent diabetes has difficultyclosing his hand because of “tight skin.” Diabetes is the cause: this findingoccurs more often in persons with microvascular complications, such asretinopathy and nephropathy. The condition may occur even in patients withwell-controlled diabetes.

Disposable dusting mitts, whichare available in most supermarkets,make excellent stirrup covers. They

Ginger has been used since ancienttimes to treat many ailments.

During pelvic examinations, tissuefrom the vaginal walls often obstructsthe view of the cervix by enteringlaterally from either side of the openspeculum.

Levofloxacin, 500 mg/d, had been prescribed for a 74-year-old woman who had a urinary tract infection. The patient had type 2 diabetes and hypertension. She was allergic to sulfa drugs. Two hours after taking the first oral dose of the antibiotic, painful blisters developed on the lower lip and soft palate.