Articles by Edmond K. H. Liu, MD

A 45-year-old man sought medical advice after suffering for 6 months with recurrent pain and a purulent discharge at the sacrococcygeal region. Two weeks before this consultation, an abscess on the patient's right buttock had been drained by another physician. The patient had type 1 diabetes mellitus for 5 years; his medical history was otherwise unremarkable.

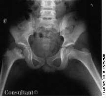
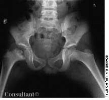
A 10-year-old boy presented with a limp and occasional pain in the right knee of 2 years' duration. A roentgenogram of the pelvis revealed fragmentation of the right capital femoral epiphysis with an irregular acetabulum.

Herpesvirus Infections
ByEdmond K. H. Liu, MD,Alexander K. C. Leung, MD,Virendra A. Parikh, MD,Joe Monroe, PA-C,Scott J.m. Lim, MD,And Paul Shields, MD Ten days before presenting for evaluation, a 69-year-old man began to experience neuralgic pain and noticed the eruption of painful erythematous macules and papules on the right side of his chest. Within 24 to 72 hours, vesicles and pustules arose at the site. One week after onset, several of the lesions dried and crusted.

A 45-year-old man sought medical advice after suffering for 6 months with recurrent pain and a purulent discharge at the sacrococcygeal region. Two weeks before this consultation, an abscess on the patient's right buttock had been drained by another physician. The patient had insulin-dependent diabetes mellitus for 5 years; his medical history was otherwise unremarkable.

A 40-year-old man requested evaluation of several cherry-red papules, which he had noticed on the upper part of his trunk for the past 12 months. The eruptions were diagnosed as cherry angiomas, also known as Campbell de Morgan spots.

The parents of a 2-year-old boy were curious about the “bump” near their son's eye, which they had first noticed about 6 months earlier. The cystic mass in the right medial canthal region measured 8 mm in diameter. It was nontender.

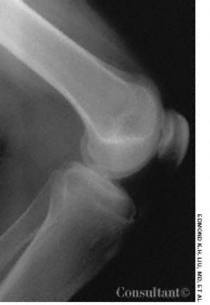
For the past 3 years, a 17-year-old boy had experienced intermittent pain in the right knee. The pain worsened when he went up and down stairs, ran, jumped, or knelt.

A mass in the neck of a 65-year-old woman had grown slowly and progressively during the last 5 years. The patient was otherwise asymptomatic; in particular, there was no heat or cold intolerance, irritability, weight loss, increased appetite, palpitations, lethargy, constipation, dysphagia, or dyspnea.

A 67-year-old man had been aware of a painless, firm, red nodule that had been growing slowly on the right temporal area for 1 year. The lesion occasionally bled.

This 20-month-old girl was born to a 28-year-old mother at 38 weeks' gestation. The pregnancy was uncomplicated, and vaginal delivery was normal. The infant sat with support at 10 months of age, sat without support at 12 months, crawled at 13 months, and walked at 18 months. She had not yet begun to talk at 20 months. The child was noted to have frequent laughing episodes and often made flapping movements with her hands.