
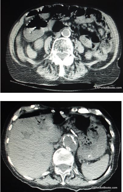
At risk for mesenteric ischemia-an uncommon but feared cause of abdominal pain-are the elderly and chronically ill.

At risk for mesenteric ischemia-an uncommon but feared cause of abdominal pain-are the elderly and chronically ill.

Mottled skin; neuropathic pain; syncope . . . test yourself on these and other subjects.

Intermittent blurred vision and palpitations in a young woman often improve after juice. She does not have DM. One day, she arrives at the ED after a seizure. Head CT is negative. What’s next?

Diet and medication can be used to manage symptoms of insulinoma. Once the lesion is well localized, resection is curative.

Asymptomatic lesion on back; impaired fertility in overweight or obese men; herpes zoster complications . . . Can you answer the 5 questions in this quiz?

A 28-year-old man reports pain on swallowing of a week's duration. He is otherwise in good health. Upper endoscopy and tissue biopsy reveal the cause. What do you see?

The most frequently encountered cause of infection of the esophagus is Candida. Among viral causes HSV is the most common, followed by CMV.

A new tender lesion in a man with T2 diabetes; hypertension and gout; TMJ osteochondroma . . . your answers to questions on these and other maladies?

Think you know everything about peptic ulcer disease? Find out here, with concepts, cases, and sample questions based on the author's recent attendance at the Internal Medicine Board Review at the Cleveland Clinic Foundation.

For carcinoid tumors of the GI tract, the rate of metastasis is related to size. Small tumors may be resected endoscopically but lesions 1 cm or larger require surgical resection.

Many caveats govern the management of hepatitis B during pregnancy. Do you know which antiviral drugs are classified as pregnancy category B?

No gallstones were found on RUQ ultrasound in this 45-year-old patient, but a polyp was seen. How would you proceed?

Some patients with upper GI bleeding can be sent home after endoscopy; others require extended treatment and inpatient observation.

This patient's presentation also included a pruritic rash around the nasolabial region and inguinal folds. What type of deficiency would you test for?

Here: a close-up look at one cause of upper GI bleeds, as well as bezoars, stromal tumor, appendicolith, and Kaposi sarcoma.

These symptoms may seem unrelated but are actually classic for a vitamin deficiency. Do you know which one?

Ischemic colitis; eosinophilic esophagitis; Crohn disease; necrotizing pancreatitis; diverticulosis: close-up looks and helpful tips here.

Crohn disease patients with short gut syndrome may require total parenteral nutrition to replace nutrients no longer absorbed. But the supplementation has its risks. Can you name the source of the symptoms in this case?

Have you heard of FODMAPS? Here: questions about these carbohydrates and also on onychomycosis and other lumps and bumps.

Professional societies differ somewhat in their recommendations for when the benefits of annual screening reach an end. Two groups, however, are on the same page.

What would you suspect as the source in a woman 32 years of age?

Results of upper and lower endoscopy are inconclusive. Your next step?

New study data suggest that routine placement of such a tube is not helpful in patients with upper GI bleeding.

Does sleep improve in asymptomatic patients with GERD when their reflux is treated aggressively? Researchers at Digestive Disease Week 2014 offered an answer.

An oral capsule that vibrates as it moves through the digestive tract may become a unique nonpharmacological treatment for chronic constipation.