
Results of a first-of-its-kind study announced at ACG 2015 compare the results of 2 common approaches to stop rebleeding after endoscopic intervention.

Results of a first-of-its-kind study announced at ACG 2015 compare the results of 2 common approaches to stop rebleeding after endoscopic intervention.

Sometimes called "asthma of the esophagus," EoE requires early detection for optimal management. This 2015 ACG presentation reviews Dx and Rx for primary care.

ACG 2015: Your patient with stubborn GERD may be a candidate for a new surgical approach, but before you refer to a specialist, check all the basics again.

A presentation on individualized treatment of pancreatic disease based on specific disease etiology offered a glimpse of the future at the 2015 American College of Gastroenterology Scientific Session on Sunday, October 18, 2015.

If hepatology is your strong suit, you should do well on this short quiz.

Authors of a new study used data mining techniques to examine the risk associated with PPI use outside of high-risk cohorts.

Proposed mechanisms for the association include PPI-induced acute pH dysregulation and alteration of the gut microbiome.

Questions about this common problem abound in primary care. Stop here for some basic answers.

For a young man with eosinophilic esophagitis, which potential allergen is most likely the cause of his symptoms?

Cystic pancreatic lesions fall into several categories. Some are indolent and can be followed; others are precancerous.

Portal vein thrombosis is often an ominous sign. What next for this patient with HCV cirrhosis?

Psychological stress increased the risk for peptic ulcer regardless of H pylori status or NSAID use, according to results of a new study.

This waxy eyebrow lesion appears to be stuck to the skin. Do you know what it is? See how well you do with the questions in this quiz.

Lactose, fructose, FODMAPs are out. Cashew milk, bok choy, and taro are in. Get more, here, on ins, outs, and newest Rx for IBS.

There are several “do-it-yourself” colon cancer screening tests available. But do any of them approximate the sensitivity of the gold standard colonoscopy?

Is a surveillance interval of 1 year, 3 years, 5, or 10 years recommended?

These endoscopic findings help explain worsening dysphagia in a 32-year-old man. Esophageal biopsies prove positive for eosinophilia. How would you proceed?

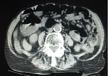
This gastrovascular disorder is rare yet life-threatening when it occurs. It is caused primarily by any process that leads to increased acuity of the aortomesenteric angle.

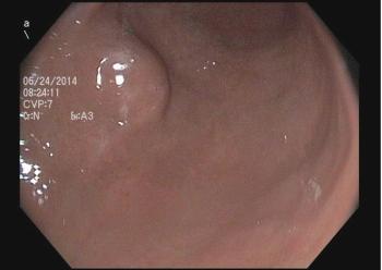
The incidental finding was noted during screening endoscopy for Barrett's esophagus. Can you answer these 3 questions on next steps and management of the case.

Stool transplant for C. difficile infection is becoming more popular. But, is the cure rate really 90%?

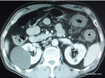
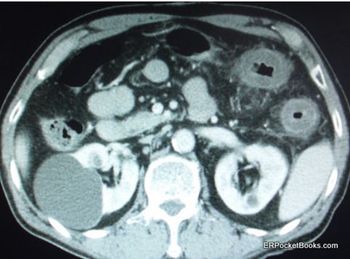
The patient has had 10 episodes of bleeding in the past 24 hours. Can you find clues to the underlying problem in the history and on the CT scan?

Could repeated episodes of vomiting in this young woman be related to ingestion of a drug?

For the past year, the patient has had episodes of severe nausea, vomiting, headache, and abdominal pain separated by weeks of feeling quite well.

Patients with dermatitis herpetiformis should be referred for consultation with a gastroenterologist for evaluation and follow-up.

What would your diagnosis be in this young man and how would that inform your next step?