
This 42-year-old woman lost 100 lb during the year after gastric bypass surgery. Now, she is diagnosed as having an ulcer. What might be the cause of the lesion?

This 42-year-old woman lost 100 lb during the year after gastric bypass surgery. Now, she is diagnosed as having an ulcer. What might be the cause of the lesion?

Fear of dining outside the home brings this patient to see you. What's the best diagnostic tool?

Constipation-related straining may be the cause of the lesion. How would you proceed?

Domperidone is better tolerated by some patients than metoclopramide. Before a switch, however, this test must be performed.

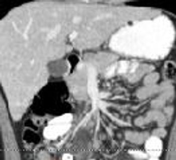
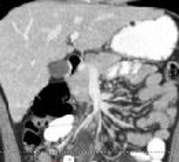
The 9-year-old was admitted after 1 day of symptoms; he had no fever, diarrhea, constipation, dysuria, or rash. More details here. What's your diagnosis?

Some 30% of cases of acute appendicitis in children are associated with appendicolith.

The patient is 50 years old and has no family history of colon cancer. Should he have a repeated colonoscopy at 1 year? 5 years? 10 years?

In the absence of well-defined post-op management, how would you proceed?

Potential for infection is everywhere for patients with alcoholic cirrhosis.

A medication change? Repeat colonoscopy with chromoendoscopy? Colectomy? Other?


Eosinophilic esophagitis is often misdiagnosed as gastroesophageal reflux disease but does not respond to acid suppression therapy. Here, a close-to-textbook case.

See if the results of this 62-year-old woman's colonoscopy help you identify the source of her abdominal pain.

A link was found between low vitamin A levels and the incidence of diarrhea with vomiting and cough with fever.




Which of the following extraintestinal manifestations of inflammatory bowel disease often parallels disease activity?


These presenting symptoms began after a near syncopal episode. The patient has no significant medical or surgical history. More details, here.

The types of digestive disorders are many, and the symptoms vary widely. This week's photo quiz offers a variety of presentations to test your diagnostic acumen.

Here’s an opportunity for primary care to have a major impact on patients with a specialty-treated disease. Specialists will never boost vaccination rates to where they need to be. It’s just not what they do.

All patients with inflammatory bowel disease are at risk for anemia at any stage of their illness. In the past few years, there has been been increasing acceptance of the safety, efficacy, and speed of correcting deficiency with intravenous iron. Here: the pros and cons of oral vs IV supplementation.

These data suggest it may be worth a try-before moving on to potentially more dangerous drugs.

Fourteen state legislatures have passed legislation mandating that retail stores provide access to employee bathrooms for individuals with ulcerative colitis and Crohn disease and other medical needs.