
The 21-year-old recently immigrated from Mexico. She has had trouble swallowing both solids and liquids x4 months. The clue to diagnosis is a subtle one.

The 21-year-old recently immigrated from Mexico. She has had trouble swallowing both solids and liquids x4 months. The clue to diagnosis is a subtle one.

A bite of steak has been lodged in the patient's throat for 1 hour; why hasn't this bout of dysphagia resolved spontaneously?

A young woman presents with sharp LLQ pain, fever, and increased white count. What's your diagnosis?

Two scenarios: a 42-y/o man with MRCP findings of concern and a 35-y/o woman s/p RNY and C-sections, with RUQ pain. Your solutions?

RUQ pain x3 days, fevers x24h. LFTs are elevated. Which of these tests should you order?

Slide Show: FDA drug approvals in the second quarter 2017 included these 10 for conditions seen in the primary care setting.

Test your knowledge by taking this quick quiz on new ACG prevention guidelines.

New ACG inflammatory bowel disease vaccination and screening guidelines call on primary care physicians as comanagers.

"Deep cleans" of UK hospitals was not the key to curtailing C diff infection; restricting use of one specific antibiotic was.

Controversy around dietary sugar guidelines and a study of red meat and diverticulitis top the latest research on food and GI disorders.


Does the abdominal CT shown offer a clue to the cause of this repeat but markedly more severe episode of hematochezia?

The "novel (and contradictory) finding..." say study authors, challenges conventional wisdom as well as current literature.

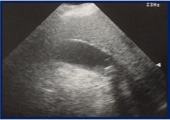
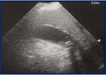
What do the symptoms and ultrasound image associated with the patient's pain suggest? Would you discharge her to home?


Many digestive diseases are complex and present a diagnostic and treatment challenge. Take this quick quiz to test your knowledge.

Check this brief slideshow for highlights of recently reported hot topics in GI research.

"Keep calm and carry on" suggests a thoughtful gastroenterologist whose patients continue to ask for reassurance.

What 2 interventions do you think were found the most effective in a recent comprehensive meta-analysis?

Patient was hemoccult positive with anemia but colonoscopy and EGD were negative. What test would you order next?


The 26-year-old patient has a history of type 1 diabetes; no other prior medical or surgical history. Antiemetics have failed. Can you Dx?

When should you test for Helicobacter pylori? For what conditions is H pylori a risk factor? And one more question, here.

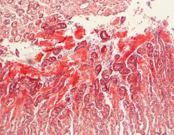
The authors present a case of AL amyloidosis with rare GI involvement and an equally rare presenting symptom.

Our short case-study quiz will test your recall of current standard of care for EoE.