
Child With Dysphagia, Fever, and Weight Loss

Child With Dysphagia, Fever, and Weight Loss

An 81-year-old Asian woman was at a family function when she briefly complained of a severe headache, then quickly lost consciousness. She was brought to the hospital within 2 hours of symptom onset.

Kaposi sarcoma (KS) is a hyperplasia or neoplasia caused by human herpesvirus 8 (HHV-8).

An extensive, highly pruritic rash; hypopigmented macules; a scaly,pruritic plantar eruption that resists antifungals--can you identify thedisorders pictured here?

A succinct review of hyperkalemia . . . its various causes, clinical manifestations and consequences, ECG findings, and treatment approaches.

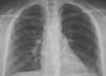
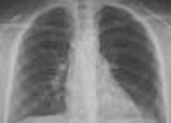
A 6-year-old girl with a nonproductive cough for 4 days and chest pain for 2 days was brought to the emergency department. According to the mother, the child had no fever or wheezing. She had no history of surgery, was not taking any medications, and had no contact with ill persons.

Several asymptomatic, erythematous papules and plaques had appeared on the hands of an otherwise healthy 11-year-old girl. The personal and family medical histories were noncontributory. A punch biopsy from the largest lesion on the palm confirmed the clinical diagnosis of localized granuloma annulare, a self-limited inflammation of the dermis.

This 30-year-old man complained of "perpetually dry" feet. He was in good health, took no medications, and had a noncontributory social and family history.

The patient had 3 circular healing wounds of varying diameters on the lateral and inner aspects of his upper left arm. The patient volunteered that he had inflicted these wounds with a cigarette in an attempt to tattoo himself to symbolize his "crazy life." (He was right-handed.) "Smiley faces" had also been tattooed on his hand with a lighter. There were no tattoos, body piercings, or body mutilation other than those mentioned.

SACRAMENTO, Calif. -- Even when HIV has all but disappeared from the peripheral blood after the start of therapy, the virus may still be lurking in the gut, slowing the restoration of immune response, according to researchers here.

LOS ANGELES -- A synthetic version of a peptide called chlorotoxin -- found in the venom of a scorpion - can be safely used to carry radioactive iodine to glioma cells, according to investigators here.

FRIEDRICHSDORF, Germany -- Infant formula laced with prebiotic oligosaccharides modified bowel bacteria and more than halved the risk of atopic dermatitis among high-risk babies, researchers reported.

BOSTON -- Shopping abroad for black market donor kidneys to bypass lengthy North American organ queues can come back to haunt recipients, investigators reported here.

BOSTON -- Transplanting organs from those who suffer cardiac death, rather than the widely accepted standard of brain death, could sharply increase the supply, said a surgeon here.

BOSTON -- Many patients don't learn until after transplant surgery that they are suddenly at a much higher risk for cancer mortality, a National Kidney Foundation survey found.

AUCKLAND, New Zealand -- Let purulent runny noses run-at least up to 10 days, New Zealand researchers say.

BETHESDA, Md. -- Dietary supplements such as antioxidants, vitamins, and garlic do little if anything to prevent cancer, but antibiotics aimed at cancer-causing bacteria appear to prevent some tumors.

ROCKVILLE, Md. -- The FDA has approved the first completely automatic test that both screens for the presence of hepatitis B and confirms it.

MADRID -- Lung function of Medicare-age patients, as measured by standard spirometry, can suggest how likely they are to develop dementia in the next five to six years, researchers reported here.

BOSTON -- The modern era of anti-HIV treatment has dramatically reduced the rate of opportunistic infections among HIV-positive children and adolescents.

A 51-year-old woman is seen because of burning at the site of entry of a urethral (Foley) catheter. The catheter had been placed perioperatively for a cholecystectomy. No history of genitourinary difficulty or trauma to the area. A urine culture that revealed Escherichia coli led to a diagnosis of urinary tract infection (UTI), but the relationship between this infection and the physical finding was unclear.

A staff nurse calls the physician to see "something really bizarre-we have no idea what this is": the plastic of a urine collection bag of an 81-year-old woman has turned purple, although the urine within is more orange-brown and distinctly less odd looking. Patient has had an indwelling urethral catheter for 7 months, and this discoloration had not been noted before. Current history includes marked constipation, atrial fibrillation, and symptomatic osteoarthrosis of the hips and knees.

LONDON -- An increasingly popular surgical treatment for childhood empyema is 25% more expensive -- but no more effective -- than intrapleural fibrinolytic treatment with Abbokinase (urokinase).

LEIDEN, The Netherlands -- Noninvasive Doppler ultrasonography is superior to traditional amniocentesis for detecting severe hemolytic fetal disease in Rh-alloimmunized pregnancies, according to an international study.

PROVIDENCE, R.I. -- A man paralyzed from the neck down has been trained to control a computer cursor and manipulate robotic hands and arms through a sensor implanted into his brain, with the aid of software that converted his intentions into action.