
This painful, eroded plaque on thedorsum of a 39-year-old man’s handhad developed over a few days from asmall, painful pustule. The patient’shistory included ulcerative colitis,which was not active when the lesionoccurred.

This painful, eroded plaque on thedorsum of a 39-year-old man’s handhad developed over a few days from asmall, painful pustule. The patient’shistory included ulcerative colitis,which was not active when the lesionoccurred.

Pyoderma gangrenosum is frequentlyassociated with systemic diseases,such as ulcerative colitis and Crohn’sdisease (Table). The occurrence of theskin ulcers does not necessarily correlatewith the activity of the underlyingdisorder.

Although the content ofthe latest childhoodimmunization schedulehas remained essentiallythe same since January2001 (Table),1 the format has beenredesigned to highlight:

A 52-year-old woman was admitted tothe hospital with progressive shortnessof breath of 2 days’ duration. Bronchialasthma had been diagnosed 6 monthsearlier; inhaled corticosteroids, bronchodilators,and leukotriene antagonistswere prescribed. Despite aggressivetreatment, the patient’s dyspneaand wheezing worsened.

Delirium in older adults needs to berecognized early and managed as amedical emergency. Prompt detectionand treatment improve both shortandlong-term outcomes.1,2 Becausedelirium represents one of the nonspecificpresentations of illness in elderlypatients, the disorder can be easilyoverlooked or misdiagnosed. Misdiagnosismay occur in up to 80% of cases,but it is less likely with an interdisciplinaryapproach that includes inputfrom physicians, nurses, and familymembers.3

Guidelines for the management of community-acquired pneumonia (CAP) have been published by several medical organizations, including the British Thoracic Society, the American Thoracic Society, and the Infectious Diseases Society of America (IDSA). Do these guidelines help improve survival rates? Yes, according to a study that focused on adherence to the IDSA guidelines and outcomes for patients with severe CAP. This study also underscores the importance of providing adequate coverage for Pseudomonas aeruginosa in patients with risk factors such as chronic obstructive pulmonary disease (COPD), malignancy, or recent antibiotic treatment.

A 28-year-old man presented with chest pain, hemoptysis, and wheezing. He had a history of intermittent shortness of breath that occurred at least 3 times a year in the past 3 years; fever; and loss of appetite associated with headache, vomiting, and weakness. His medical history also included asthma, chronic gastritis, and more than 5 episodes of pneumonia since 1996. A test for hepatitis C virus (HCV) had yielded positive results.

A 66-year-old man presented with weight loss for 2 months, loss of appetite for several weeks, and abnormal chest radiographic findings. He denied chest pain, cough, fever, chills, shortness of breath, and chest trauma. He was an active smoker, with a 50-pack-year history of smok- ing, and a cocaine and alcohol abuser. His history included treatment of hypertension for 10 years and treatment of pulmonary tuberculosis 14 years previously.

High-resolution CT (HRCT) and galactomannan enzyme-linked immunosorbent assay (ELISA) are valuable in the diagnosis of invasive aspergillosis; however, both of these methods have limitations. Although the role of polymerase chain reaction (PCR) testing has not been established yet, the results of a study in the Netherlands are encouraging.

Abstract: Multidrug-resistant tuberculosis is defined as tuberculosis caused by strains that have documented in vitro resistance to isoniazid and rifampin. Treatment involves a regimen consisting of at least 4 or 5 drugs to which the infecting strain has documented susceptibility. These agents may include ethambutol, pyrazinamide, streptomycin, a fluoroquinolone, ethionamide, prothionamide, cycloserine, and para-aminosalicylic acid. In addition, an injectable agent, such as kanamycin, amikacin, or capreomycin, should be used until negative sputum cultures have been documented for at least 6 months. If the patient has severe parenchymal damage, high-grade resistance, or clinically advanced disease, also consider clofazimine, amoxicillin/clavulanate, or clarithromycin, although there is little evidence supporting their efficacy in this setting. Routine monitoring includes monthly sputum smear and culture testing, monthly assessment of renal function and electrolyte levels, and liver function tests every 3 to 6 months. (J Respir Dis. 2006;27(4):172-182)

A disorder similar to scleromyxedema, nephrogenic fibrosing dermatopathy, has been reported in patients receiving renal dialysis. Lichen myxedematosus, an atypical form of papular mucinosis, is not associated with sclerosis and paraproteinemia; however, it may represent an early presentation of scleromyxedema.

The mother of this 3-year-old boy noticed that his smile was asymmetric when he awoke that morning. He had been seen 3 days previously for left ear discomfort, sore throat, and a low-grade fever. Otitis media was diagnosed, and amoxicillin was prescribed.

Which of the rashes pictured here is tinea corporis?

How can recurrent episodes of noninfectious pericarditis best be prevented?

How can patients alleviate the burning sensation caused by eyedrops?

A spreading pruritic rash, an eruption of vesicles, an intermittently pruritic lesion--can you identify the disorders pictured here?

These patients have chronic paronychia. This inflammatory nail bed disorder is usually caused by prolonged exposure to wet environments and repeated minor cuticle trauma. Christopher Montoya, PA-C, of Beaverton, Ore, and Timothy R. Hurtado, DO, of Yongson, Korea, report that the nails of a 33-year-old man's right index finger and ring finger displayed multiple lateral grooves and edema near the eponychium.

A 63-year-old woman sought evaluation of asymptomatic, nontender, gradually progressing bilateral plaques on her shins. The lesions had arisen 8 months earlier as small, firm, red papules that spread peripherally. The papules had enlarged and developed atrophic centers. The patient had no history of glucose intolerance or diabetes.

A 50-year-old woman with breast cancer presented for follow-up 2 months after undergoing a left mastectomy and chemotherapy through a port catheter implanted in the right subclavian vein. Because venous access had been difficult to achieve, the catheter was left in situ after treatment.

The most common chronic blood-borne infection in the United States is caused by hepatitis C virus (HCV), an RNA virus transmitted through blood-to-blood contact. In this article, we identify risk factors for HCV infection and discuss which patients should be tested and treated.

Rheumatoid arthritis (RA) affects 1% ofadults during their most productiveyears and can result in significant disability.The goals of therapy are to reducepain, limit joint destruction, andpreserve function.

A 44-year-old homeless man complains of a “sore” onhis penis. The ulcer developed from a macular lesionon the glans penis about 5 days earlier. The painless ulcerhas not responded to a topical antibiotic ointment he receivedat another clinic.

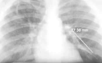
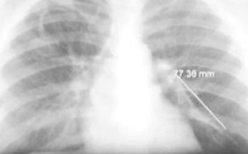
A34-year-old woman presents to the emergency department(ED) with rapidly progressive dyspnea.The patient has a history of metastatic vaginal clearcell adenocarcinoma secondary to diethylstilbestrol exposurein utero. Following her diagnosis in 1990, she wastreated with surgery, chemotherapy, and radiation. Shehad done well for years until a recurrence of the cancer tothe left lung was found last year. She completed a courseof chemotherapy with doxorubicin hydrochloride andcisplatin 1 month ago.

A 54-year-old woman presents with severe, throbbingpain in her right shoulder that began 3 daysearlier. She has no history of trauma or of problems withthis shoulder. She denies shortness of breath, fever,chills, and rash.

A 36-year-old man with a 15-year history of episodic migraine presents to the emergency department (ED) at 5 AM witha right-sided throbbing headache of 4 hours' duration. The headache awakened him, which is typical of his more severemigraine attacks. Unfortunately, the patient forgot to refill his prescription for pain medication and did not "catch" thisheadache in time. He took an over-the-counter combination of aspirin and caffeine, which seemed to help for about 60minutes, but the headache has returned full force. He has vomited twice-another characteristic typical of his migraineattacks