
Amblyopia (lazy eye) is characterized by unilateral or bilateral impairment in visual acuity, uncorrected by optical means, without detectable anatomic damage in the eye or visual pathway.

Amblyopia (lazy eye) is characterized by unilateral or bilateral impairment in visual acuity, uncorrected by optical means, without detectable anatomic damage in the eye or visual pathway.

Up to 10% of Americans older than 20 years have type 2 diabetes, and more than 20% have the metabolic syndrome. The prevalence of both diseases has risen by 33% over the past decade as a result of an increasingly sedentary lifestyle, the obesity epidemic, the growth of ethnic groups at risk for the disease, and the aging of the population.

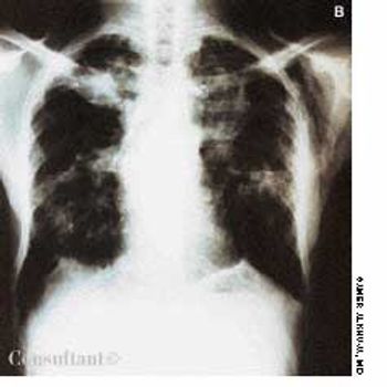
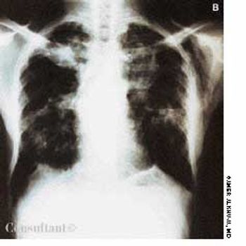
A 2 1/2-year-old child is hospitalized with a 1-month history of worsening persistent cough. She was initially treated with a 5-day course of oral amoxicillin, and her symptoms abated somewhat. However, for the past week, she has experienced high fever and chills associated with right-sided pleuritic chest pain.

Generalized weakness and malaise have bothered a 44-year-old woman for a few days. The patient has several large, flat facial lesions that have been present for years; she has never consulted a physician about them.

To better visualize the cervix in large women, use a rubber tube created by cutting off a finger of a large-sized glove and then cutting off the tip of the finger.

A magnifying glass that is relatively flat and at least the size of a quarter is a tool worth carrying in your pocket.

When children who are recuperating from a tonsillectomy refuse most fluids offered to them, suggest that their parents purchase ice cube trays that make ice in fun shapes, such as hearts and stars.

A 51-year-old man with a history of AIDS (CD4 count of 59 cells/µL), anemia, neutropenia, and AIDS-related dementia presented with persistent fever, abdominal pain, and diarrhea of 2 months' duration. He did not adhere to his regimen of HAART and prophylactic therapy with atovaquone and azithromycin.

A 50-year-old woman was concerned about a nonhealing, painful lesion on the medial aspect of the left side of the nasal bridge. The lesion had been present for several weeks. The patient believed that a "cyst" had developed in the area. She had been attempting to remove it manually.

For the past 3 months, a 47-year-old woman suffered from progressive malaise, fatigue, and exertional dyspnea. Small, nontender plaques first developed over her knees, and she now had symmetric, claylike plaques over her forearms and hands. These patches extended from the olecranon along the ulnar side of her forearm, wrapped around her wrist, and extended across the dorsum of her hand to the middle finger.

An otherwise healthy 18-month-old boy presented with palpable purpura over the legs, arms, and buttocks; his face, neck, and trunk were spared. The patient was otherwise asymptomatic, alert, and playful. His mother reported that the child had a “stuffy nose and cough” 1 month earlier.

The mother of a 5-year-old girl who was frightened by the appearance of a flat “freckle” in her daughter's eye (A) was reassured by the diagnosis of a benign conjunctival nevus.

The diagnosis of cystic fibrosis (CF) is typically made in childhood. However, there is increasing evidence that a mild and atypical form of this disease can present in adulthood. The author describes a patient who received the diagnosis of CF when she was 74 years old.

The annoying symptoms of rhinosinusitis are often refractory to treatment, and their impact on patients' quality of life has been well established. However, some encouraging news comes from a study by Rabago and associates, who found that hypertonic saline nasal irrigation (HSNI) improves quality of life in patients with chronic sinonasal symptoms.

Abstract: In addition to causing pulmonary disease, infection with Mycobacterium tuberculosis can result in a wide range of extrapulmonary manifestations, including abdominal involvement. Patients with acute tuberculous peritonitis typically present with fever, weight loss, night sweats, and abdominal pain and swelling. Intestinal tuberculosis is characterized by weight loss, anorexia, and abdominal pain (usually in the right lower quadrant). A palpable abdominal mass may be present. Patients with primary hepatic tuberculosis may have a hard, nodular liver or recurrent jaundice. The workup may involve tuberculin skin testing, imaging studies, fine-needle aspiration, colonoscopy, and peritoneal biopsy. Percutaneous liver biopsy and laparoscopy are the main methods of diagnosing primary hepatic tuberculosis. Treatment includes antituberculosis drug therapy and, in some cases, surgery. (J Respir Dis. 2005;26(11):485-488)

An HIV-positive 38-year-old man with a history of injection drug use presented to the emergency department with abdominal and back pain that worsened with motion. He denied fever and vomiting. During the past 2 months, the patient had been treated for a urinary tract infection (UTI) 4 times and evaluated for a renal calculus, which had been ruled out. He was currently receiving ciprofloxacin, ibuprofen, and HAART.

New guidelines recommend a different regimen for patients with native valve endocarditis caused by MRSA.

A laceration over the nasolacrimal canal is visible in Dr Leonid Skorin's photograph of a young girl who was bitten around the eye by a dog. An ophthalmologist needs to be consulted whenever a laceration occurs in this area. Failure to repair the nasolacrimal canal properly can result in permanent tearing and discomfort.

As many as half of patients who are evaluated for abdominal pain do not receive a precise diagnosis. And for about half of those who are given a diagnosis, the diagnosis is wrong. In this article, I will use actual cases (not "textbook" examples) to illustrate an approach to abdominal pain that begins with a careful differential diagnosis. I also offer some general guidelines for evaluating patients.

An 81-year-old man is seen for follow-up of leukocytosis detected during a recent hospitalization for community-acquired pneumonia. The leukocytosis had not resolved by the time he was discharged.