
Cleft lip and palate is a common congenital facial malformation that occurs once in about every 750 births among Caucasians.

Cleft lip and palate is a common congenital facial malformation that occurs once in about every 750 births among Caucasians.

In a 65-year-old man with a family history of colorectal carcinoma, an initial screening coloscopic examination revealed 2 arteriovenous malformations. These delicate red lesions with a vascular network and irregular edges were found in the cecum.
The parents of a 10-year-old boy of normal intelligence brought him for evaluation because of his tall stature. He was 154 cm tall (3 cm above 97th percentile) and weighed 34.3 kg (50th percentile). He exhibited significant arachnodactyly, with an upper to lower segment ratio of 0.8 and an arm span to height ratio of 1.1. He had a long, angular face with a high arched palate and crowded dentition, ptosis, myopia, superior lens subluxation, pectus excavatum, widely spaced and low-set nipples, grade 2/6 ejection systolic murmur at the left sternal border, midthoracic scoliosis, joint hypermobility, positive thumb sign and wrist sign, and pes planus.

A previously asymptomatic, large black plaque on a 65-year-old man's scalp recently began to bleed. The lesion had grown considerably since it first appeared as a small black macule 3 years earlier.

This 19-month-old child exhibits the characteristic features of hypomelanosis of Ito, a neurocutaneous disorder.

A 45-year-old woman presented with a slowly enlarging, mildly tender lesion on the left sole. The large indurated plaque was studded with multiple firm papules and nodules that involved the instep and extended onto the medial aspect of the foot. There was no regional adenopathy.

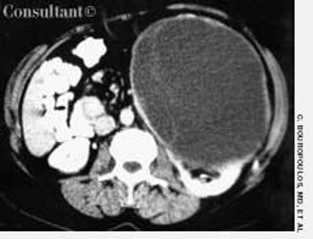
A 74-year-old man had vague abdominal pain, jaundice, pruritus, gray stools, and dark urine. A painless, palpable mass in his right upper quadrant was found at examination.

An 11-year-old boy presented to the hospital with a 3-day history of maculopapular rash over the face, trunk, and extremities. He had completed a 5-day course of trimethoprim-sulfamethoxazole for otitis media 1 week before presentation. His medical history was otherwise unremarkable. Over the past 3 days, the rash had become pruritic and the lesions progressively larger. Some lesions were vesicular and bullous. There was diffuse involvement of the oral mucosa, conjunctivae, and genitalia.

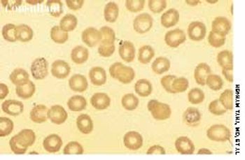
A 43-year-old woman was admitted to the hospital with left flank pain. The physical examination revealed a left abdominal mass. Laboratory test results identified normochromic-normocytic anemia (hematocrit, 33%; hemoglobin, 10.8 g/dL; and mean corpuscular volume, 88 fL) and microscopic hematuria (10 red blood cells per high-power field).

The left foot of this 4-month-old boy has a convex sole with a rocker-bottom appearance, hindfoot equinus, and midfoot and forefoot dorsiflexion.
A 55-year-old man claims that the clubbed appearance of his fingers had been present “as long as I can remember.” This patient has hereditary clubbing of the distal phalanges of all fingers; his toes are similarly affected.

A mass on the left side of the scrotum was the presenting complaint of a 7-year-old boy. The mass increased in size when the child cried, strained or coughed. Physical examination showed a left scrotal mass that was reducible with manipulation when the child was lying down. The left spermatic cord was found to be thickened-the "silk" sign.

A 50-year-old man with a history of diabetes, hypertension, seizure disorder, and alcohol abuse sought treatment for a rash and painful ulcerations of the hand, face, and scalp, which had bothered him for 1 month. The patient also complained of pruritus.

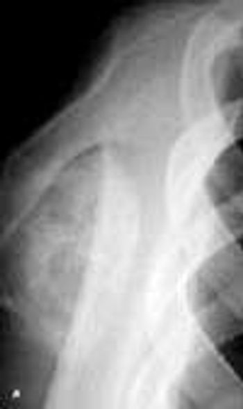
A 67-year-old man had been hoarse since undergoing a thyroidectomy for carcinoma nearly 3 months ago. Indirect laryngoscopy now confirmed paralysis of the right vocal cord, which was fixed in the paramedian position. The left vocal cord appeared normal.

A 42-year-old woman sought medical advice for a facial rash of 4 weeks' duration. She denied any drug allergies, changes in her routine, or use of new laundry products.

A 69-year-old woman experienced a sudden, painless loss of vision in her left eye. Her ocular history included early cataracts and macular degeneration.

Concerned parents sought evaluation of their 3-year-old daughter, whose developmental milestones were somewhat delayed. The child sat without support at 10 months of age and walked at 17 months of age.
After a galley door slammed shut on his right wrist, a 37-year-old deckhand sought medical attention. He had no history of previous injury to the wrist. On examination, he had 50% of normal range of motion, and there was palpable tenderness and bony swelling at the dorsum of the wrist.

A 20-year-old woman, who had been confused and delirious for 2 days, was brought to the emergency department (ED). She had no significant past medical history and was taking no medication but had recently returned from a trip to Southeast Asia. In the ED, the patient had several convulsions and rapidly became comatose. She was unresponsive; her temperature was 37.9°C (100.3°F), and her blood pressure measured 80/50 mm Hg. The neurologic examination showed no signs of meningeal irritation. Cranial nerve examination was normal and showed mild, bilateral, symmetric increase in deep tendon reflexes. All other physical examination findings were normal.

A 25-year-old primipara had her first prenatal visit at 12 weeks' gestation. She said that her gums had recently become irritated and bled easily.