
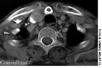
An 87-year-old woman was referred for a newly discovered neck mass. She denied any history of neck mass, dysphagia, odynophagia, stridor, shortness of breath, or globus sensation. She had experienced no change in voice.

An 87-year-old woman was referred for a newly discovered neck mass. She denied any history of neck mass, dysphagia, odynophagia, stridor, shortness of breath, or globus sensation. She had experienced no change in voice.

Seen here is an ulcerated tumor with irregular borders on the left foot of a 37-year-old man. He said the tumor had developed several years ago.

Numerous floaters in the vitreous of both eyes were noted during routine ophthalmologic examination of a 67-year-old woman. The patient had no symptoms from the floaters. Her ocular and medical histories were noncontributory.

Ten days after ballet practice, a 9-year-old girl noticed a nonpruritic, petechial rash on her lower legs. Swelling of the ankles and knees was also apparent. The patient was afebrile, otherwise healthy, and had no abdominal pain. There was no family history of blood dyscrasias. The patient was taking no medications.

These are the breasts of a healthy 35-year-old woman as seen during a postpartum examination following delivery of twins. She had two supernumerary nipples on the right-one above and one below the normal nipple-and one supernumerary nipple on the left, superior to the normal nipple.

A 46-year-old man complained of “irritation” in the groin of several months' duration.

A 24-year-old man sustained a fall on his outstretched hand (FOOSH) injury that was complicated by wrist hyperextension. He complained of persistent right wrist pain and loss of grip strength.

A 73-year-old man who had a history of long-standing essential hypertension, congestive heart failure, mild renal insufficiency, atrial fibrillation, and a mitral valve replacement presented with refractory hypertension. His medications included labetalol, irbesartan, and furosemide.

Brown-black discoloration and a soft, velvety papillomatosis of the axillary, inguinal, genital, and neck areas were seen in a 46-year-old man. He had hypertriglyceridemia, for which he had recently begun taking nicotinic acid. After a few days of therapy, he noticed the onset of this asymptomatic hyperpigmentation.

While evaluating this 26-year-old man for suspected sinusitis, skull films revealed the fragments of a 32-caliber gunshot embedded in his brain. The anteroposterior and lateral radiographs show three metallic bullet fragments; the largest remnant is on the left side of the occipitoparietal region. The patient reported being shot at age 11 but denied any residual neurologic signs.

A 31-year-old man with a history of traumatic brain injury was hospitalized because of failure to thrive, constipation, and intermittent diarrhea with soiling.
This obstruction results from hypertrophy of the circular and longitudinal muscularis of the pylorus and the distal antrum of the stomach. It occurs in approximately 3 of every 1000 live births and is 4 times more common in boys. Pyloric stenosis (PS) is relatively uncommon in African American and Asian infants. The observation that it occurs primarily in first-born infants has been disputed.

A 74-year-old man was evaluated for iron deficiency anemia. The gastrointestinal (GI) work-up showed Schatzki's ring, gastritis, and two adenomatous polyps. Oral iron therapy was initiated, and the anemia improved.

our years ago, this patient had necrotizing cellulitis of the right calf that required surgical debridement. He did well for the next 2 years, but then his lower leg became increasingly swollen.

An 84-year old woman, who depends on a weekly dose of magnesium citrate to have a bowel movement, has extensive diverticulosis throughout the length of the colon.

A 21-year-old man slept in a car in upstate New York for three winter nights. Discomfort and swelling of his toes developed, which progressed to marked discoloration of the digits.

A 13-year-old girl was notably short and had short fourth metacarpals and metatarsals. She was very mildly mentally retarded.

Bilateral skewfoot in a 7-year-old boy. The deformities were rigid in this child, and there was no improvement with growth.

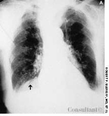
A 95-year-old woman was brought to the emergency department with hemoptysis. Erect posterior-anterior (A) and lateral (B) chest films showed a density at the base of the right lung posteriorly. A CT scan (C) revealed that the mass was the right kidney above the diaphragm and adjacent to the heart. The kidney had migrated through a foramen of Bochdalek.

For 2 months, food particles had been regurgitating into a 72-year-old woman's throat after meals. Barium esophagography revealed a Zenker, or pharyngoesophageal, diverticulum.