
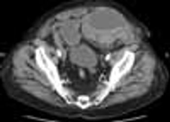
Five days after starting aspirin and warfarin with an enoxaparin bridge for new-onset atrial fibrillation, a 92-year-old man presented with abdominal pain, nausea, and vomiting. The patient appeared ill and was tachycardic. He had dry mucous membranes; pale sclerae; diminished bowel sounds; and a large, tender left lower abdominal mass. Hematocrit was 22% (baseline, 39%); hemoglobin, 6.8 g/dL; blood urea nitrogen, 65 mg/dL; and creatinine, 3.2 mg/dL (baseline, 1.3 mg/dL). His "pre-renal" ratio was 20. These findings were consistent with bleeding and acute renal failure. He also had a supratherapeutic international normalized ratio (INR) of 4.1.































































































































