
What is the most likely cause of epigastric pain or discomfort in patients who have not undergone any investigations?

What is the most likely cause of epigastric pain or discomfort in patients who have not undergone any investigations?

OSA is not simply a marker for poor health but is an independent risk factor for open-angle glaucoma. Both conditions affect millions worldwide.

Becoming familiar with recent developments in managing “the king of diseases and the disease of kings” may help.

PCI is not recommended for asymptomatic adults who are highly functional and report no exercise-induced symptoms.

HIV infections are increasing most rapidly among Americans over age 65. Yet the CDC doesn't recommend routine screening in this age group, many older people are unaware of their HIV-positive status, and studies show that they may benefit more than younger patients from antiretroviral therapy.

Patients with MRSA or MSSA should always be treated for at least 2 weeks with IV antibiotics.

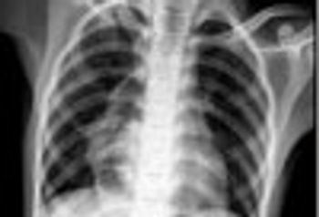
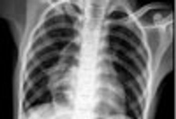
Pneumomediastinum is the abnormal presence of air within the mediastinum; causes include blunt force trauma, esophageal rupture, surgical complications.

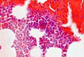
Eosinophilic ascites is an extremely rare presenting sign of hypereosinophilic syndrome.



For HIV/AIDS patients, adherence to scheduled clinic visits is linked with perception of quality of care.

Incretin-based T2DM therapy is not a direct cause of pancreatitis or pancreatic cancer asserts the European Medicines Agency.

What's the best way to dislodge a fishhook? What if there is bony involvement?

Upset patients, angry patients drain your time and energy. Here is a simple 6-step protocol that works almost every time.

How would you proceed with this patient?

A miscarriage, the spontaneous expulsion of a fetus from the womb before it is able to survive on its own, ends 1 in 5 pregnancies.

A healthy 50-year-old woman walks into your office; she is concerned about her risk of breast cancer because right-sided breast cancer was diagnosed in her mother at age 55. She is of Caucasian ancestry and has no other family members with breast, ovarian, or prostate cancer. She has read the news about an actress who had a “cancer gene” and ended up having prophylactic mastectomies. She is very concerned about her risk of developing breast cancer and wants to be “tested.”
Eccentric and irregular pigmentation prompted a biopsy in this elderly woman with a history of basal cell carcinoma and melanoma. The surprising diagnosis was a heavily pigmented squamous cell carcinoma in situ.

The financial impact of health care on patients is not benign.

GLP-1 receptor antagonists suppress post-meal glucose excursions and are compatible with basal insulin; the combination addresses both FPG and PPG.