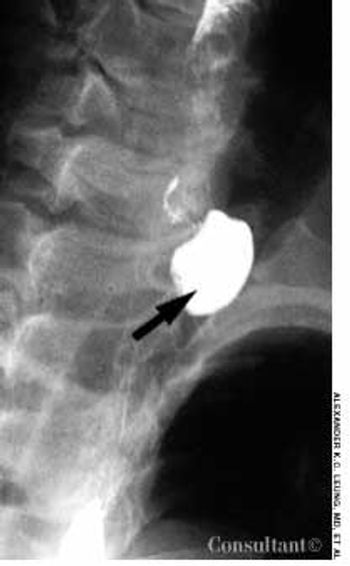
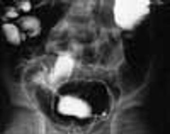
A 6-year-old boy presented with bloody diarrhea; fatigue; decreased appetite; weight loss; and occasional, mild abdominal pain for the past 2 months. The child had 6 to 8 bowel movements daily, 1 or 2 of which occurred at night.
All News
Acute allergic reactions from the bites of the common dog tick, Dermacentor variabilis, resemble reactions from bites of mosquitoes and other insects. Following removal of the tick from the patient's back, this inflamed, pruritic plaque developed at the site. Once all parts of the tick are removed, these bites generally respond to topical corticosteroids.

Proximal bilateral upper extremity weakness had slowly progressed in a 34-year-old woman until she could no longer raise her arms above her shoulders. She first noticed the weakness at age 18; previously, she had been active in sports and her development had been normal.
This neonate was born with a high arched and cleft palate and a small jaw-the result of Pierre Robin syndrome, an autosomal recessive disorder also characterized by micrognathia and pseudomacroglossia.

A 6-year-old boy is brought for evaluation of bloody diarrhea, fatigue, decreased appetite, weight loss, and occasional, mild abdominal pain of 2 months' duration. The child had 6 to 8 bowel movements daily, 1 or 2 of which occurred at night.

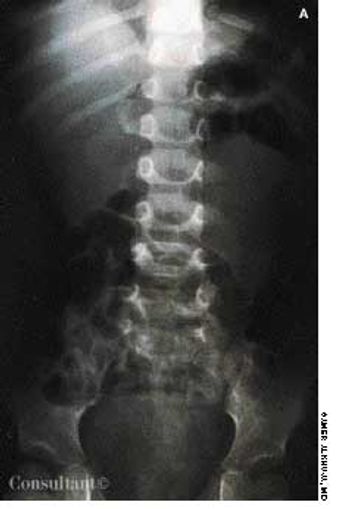
A 65-year-old woman had had diarrhea for 1 year. Stool studies were negative for occult blood, and flexible sigmoidoscopy revealed a cobblestone-patterned colonic mucosa. A detailed history revealed that for the past year, the patient had been taking a daily herbal multivitamin supplement, the ingredients of which included cascara. Her diarrhea resolved completely when she stopped taking the pills.
Alimentary tract duplications are uncommon. Gastric duplication accounts for only 3.8% of these duplications. The cause is not known, but faulty separation of the endoderm and notochord early in embryonal development is thought to be responsible. The anomaly occurs in twice as many female as male infants.

A 56-year-old woman was bothered by “something protruding” from her vagina. She had no pain, bleeding, or dyspareunia.

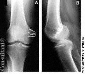
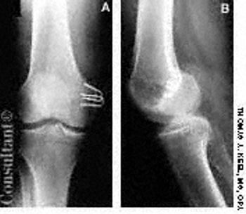
A 51-year-old man-a 6 ft, 240 lb bodybuilder-presented with long-standing, chronic rotational instability of the left knee as the result of a valgus blow to the joint during a football game 20 years earlier. The patient complained of extreme pain and reported that he felt the tibia sliding around under the left femur.

An 11-year-old girl presented with central clefting and syndactyly of the third and fourth digits of the right hand; sparse, fine blond scalp hair; sparse eyebrows; and numerous dental caries. Past health was unremarkable except that she had stenosis of the nasolacrimal ducts, which required probing when she was 1 year old. Her mother also had somewhat sparse and fine scalp hair and similar hand malformations with ridged and slow-growing nails, as well as mild conductive hearing loss.
A female infant was born vaginally to a gravida 4, para 1, 24-year-old woman at term. The child's birth weight was 2,800 g; her length was 51 cm. The mother had a history of three spontaneous abortions. The present pregnancy was complicated by threatened abortion at 15 weeks. The mother was given hydroxyprogesterone hexanoate, 500 mg IM weekly for 6 weeks.

A 34-year-old woman who has had constipation and episodes of obstipation for at least 5 years recently passed blood and mucus rectally and has a rectal prolapse. Colonoscopy revealed an ulcer on the anterior rectal wall, approximately 4 cm from the anus.
A 3120-g male infant was born to a 31-year-old gravida II para I mother at 37 weeks' gestation following an uncomplicated pregnancy. There was no history of oligohydramnios, but diminished fetal movements were noted. The infant was born vaginally with complete breech presentation and Apgar scores of 7 and 8 at 1 and 5 minutes, respectively.

Bilateral swelling and pain of the distal interphalangeal (DIP) joints for several months brought this 65-year-old woman to her physician. She complained also of stiffness in the region of the DIP joints when she arose in the morning and after short periods (less than 15 minutes) of inactivity. A history such as this, in conjunction with the appearance of the patient's hand, is typical of Heberden nodes, which are a manifestation of osteoarthritis (OA).

This striking picture of a bifid uvula in an asymptomatic 57-year-old man was taken by Robert P. Blereau, MD of Morgan City, La.

During the last few weeks of gestation or shortly after birth, the layers of the processus vaginalis normally fuse together and obliterate the entrance to the inguinal canal in the vicinity of the internal inguinal ring. An indirect hernia results from a failure of fusion of the processus vaginalis; the bowel subsequently descends through the inguinal canal.

A 2-year-old boy was hospitalized because of acute abdominal pain. He had no other symptoms. The child's temperature was 37.3°C (99.1°F). He was irritable and had generalized abdominal tenderness. A stool test was positive for blood. Results of laboratory investigations were normal.

During investigation of a long-standing iron-deficiency anemia, a 67-year-old woman was found to have cecal colon cancer, Duke's stage B. A right hemicolectomy was performed at that time, and she had periodic follow-up examinations. Four years later, during a routine outpatient visit, her carcinoembryonic antigen (CEA) serum level was found to be 27.7 ng/mL (upper normal limit, 5 ng/mL). Four months earlier, her CEA level had been normal.

The parents of an 18-month-old girl were curious about a depressed area on their daughter's lower back, which had been present at birth. The child was otherwise healthy.

For 8 months, a 69-year-old man had dysphagia, throat irritation, and a recurrent cough. He also complained of a bulge on the left side of the neck that decreased in size when pressed.
