
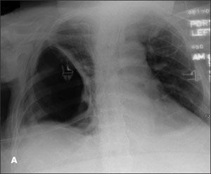
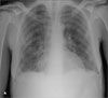
A 50-year-old woman presents to the emergency department with severe dizziness, weakness, and dyspnea of 1 week’s duration. Ten days earlier, an upper respiratory tract infection (URTI) was diagnosed; over-the-counter cough syrup and acetaminophen were prescribed. However, the patient’s condition has steadily deteriorated since then. In addition, her urine has darkened over the past few days.



















































































































































































































































































