
I prewrite prescriptions for docusate sodium and ibuprofen to have on hand when I see patients during the postpartum period. This lets me spend more time with the patient.

I prewrite prescriptions for docusate sodium and ibuprofen to have on hand when I see patients during the postpartum period. This lets me spend more time with the patient.

ABSTRACT: Early treatment with disease-modifying anti-rheumatic drugs (DMARDs)--alone or in combination-- can prevent joint damage and minimize disability. Until recently, the DMARDs used predominantly in patients with rheumatoid arthritis had been methotrexate, sulfasalazine, and hydoxychloroquine. Older DMARDs such as gold, d-penicillamine, and azathioprine have fallen out of favor because of their long- term toxicities or modest benefit. Six newer DMARDs--leflunomide, etanercept, infliximab, adalimumab, rituximab, and anakinra--have greatly expanded the current treatment options.

A 54-year-old woman with a history of hypertension presented with a worsening headache and a left hemisensory defect. A CT scan of her head without contrast showed a right parietal hemorrhage with spreading edema; the masslike effect caused shifting of the midline to the contralateral side. The patient gradually became comatose and required intubation for airway protection. Intravenous corticosteroids were administered to decrease the effect of the lobar hemorrhage. Fever developed 3 days after admission.

A 79-year-old man has an elevated prostate-specific antigen (PSA) level(11.3 ng/mL). About 1 month earlier, when he was hospitalized for a seriousurinary tract infection (UTI), his PSA level was 13.3 ng/mL. The more recentlevel was obtained after he received antibiotic therapy for the UTI.

Inflammation plays a major role in coronary artery disease (CAD), whereby inflammatory changes develop in the blood vessel walls.1 This observation has spurred interest in exploring the connection between CAD and markers of inflammation, including C-reactive protein (CRP), fibrinogen, serum amyloid A, and many other novel markers.

Primary care physicians may want to consider consulting a physiatrist to help with this aspect of management. Physiatrists, or physical medicine and rehabilitation physicians, are specifically trained to employ exercise programs in the management of various musculoskeletal conditions.

Stories about community-associated infections with methicillin-resistant Staphylococcus aureus (MRSA) have been making headlines in recent months in both the medical and popular press. A familiar problem in hospitals and nursing homes for decades, growing numbers of MRSA infections have been documented over the past few years in prison inmates, soldiers, athletes, Pacific Islanders, Alaska Natives, Native Americans, and men who have sex with men.
A 43-year-old man presented with intermittent upper abdominal pain, which had begun the previous day after eating toast. Assuming different positions did not provide relief.
For 9 years, an asymptomatic mass had been present on the right side of the back of a 49-year-old man. He had never had any pain in the region and had no limitation of motion of the right shoulder.

An easy, inexpensive way to differentiate between solid and cystic scrotal masses is to shine a flashlight on one side of the mass (ideally, in a darkened room) to see whether it transilluminates. Cystic masses will usually transilluminate, whereas solid masses will not.

What are the current recommendations for treatment of a moderately symptomatic Zenker diverticulum in a healthy 75-year-old man who takes no medications?

Because it relaxes the lower gastroesophageal sphincter, peppermint exacerbates gastroesophageal reflux disease (GERD). Counsel patients with GERD to avoid very strong breath mints, as well as other peppermint candies.

A 17-year-old student complains of worsening pain on the lateral side of his right foot that began 2 weeks earlier and now causes him to limp.

The next time you need to visualize the ear canal during cerumen removal, don't reach for an otoscope, which can obstruct the canal. Instead, use a nasal speculum to open up the ear canal.

When warm soaks are recommended--whether for a sore muscle, an injured tendon, or a hematoma that has developed at a venipuncture site--I advise patients to try the following method: place a washcloth soaked in warm water on the affected area, then cover it with a disposable diaper, using the diaper's self-stick tabs to secure it. The diaper prevents the washcloth from being rapidly cooled by outside air and keeps the patient's clothes dry.

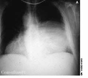
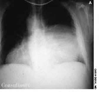
Shortness of breath and cough were the sole complaints of a 49-year-old man who had no significant medical history. He was given antibiotics for a possible bronchitis. The patient returned a week later because his symptoms had not improved. At this time, a chest film showed a right-sided mediastinal mass, and a CT scan of the thorax located the mass in the posterior mediastinum.

For each of the following questions, choose the most appropriate answer and record your answer in the space provided on page S11.
Lesions that resembled fungi on the abdomen of a 50-year-old woman had persisted for a year despite treatment with over-the-counter selenium sulfide and antifungal creams. She had no associated symptoms.

Vice Chair, Department of Psychiatry Director of Addiction Medicine Cedars-Sinai Medical Center Adjunct Professor of Psychiatry University of California, Los Angeles

Nail involvement can be seen in all types of psoriasis. Note the characteristic discoloration and hyperkeratosis.