
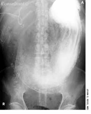
A 31-year-old man with a history of traumatic brain injury was hospitalized because of failure to thrive, constipation, and intermittent diarrhea with soiling.

A 31-year-old man with a history of traumatic brain injury was hospitalized because of failure to thrive, constipation, and intermittent diarrhea with soiling.

Instruct patients to add a 255-gbottle of PEG solution to 64 oz ofGatorade in any flavor that does notcontain red or purple dye.

If you miss the artery on your firstattempt to draw blood for arterialblood gas determinations, don’t subjectthe patient to more blind probes.

My patients have been more satisfiedwith my care and more compliantwith medical advice since I starteddictating my notes in front ofthem at the conclusion of our officevisits.

ABSTRACT: The diagnosis of urinary tract infection (UTI) can be difficult in elderly patients, who may present with vague complaints or atypical symptoms. Office-based urine testing is less sensitive and specific in these patients because they are less likely to have pyuria and more likely to have contaminated specimens than younger adults. Antibiotics used to treat uncomplicated UTIs in the elderly include trimethoprim-sulfamethoxazole (TMP-SMX), fluoroquinolones, fosfomycin, nitrofurantoin, cephalosporins, carbenicillin, and trimethoprim. When you select an agent, consider the side-effect profile, cost, bacterial resistance, likelihood of compliance, and the patient's renal function. The optimal duration of treatment of uncomplicated UTIs in elderly women is still a matter of debate. Options for prophylaxis in patients who have recurrent uncomplicated UTIs include estrogen replacement therapy (vaginal or oral) and nitrofurantoin.

A 53-year-old man with a 20-year history of type 2 diabetes mellitus (for which he required insulin) sought evaluation of a hot, swollen right foot that seemed to have become “flat.” He had no pain, fever, or chills. The patient’s metatarsal bones were readily movable, consistent with Charcot joint. Further workup ruled out osteomyelitis. Plain films demonstrated extensive deformity of the tarsal and metatarsal bones with Lisfranc fracture/dislocation through the base aspects of all 5 metatarsals.

A 30-year-old man has had painful genital lesions for the pastseveral days. He recently returned from a business trip during which hehad several unprotected sexual encounters.

A 46-year-old man complained of “irritation” in the groin of several months’ duration. Ted Rosen, MD, of Houston noted a tender, macerated, hypopigmented plaque at the junction of the scrotum and upper inner thigh. At the periphery of the lesion was some detectable erythema and within the plaque were several small, superficial erosions.

The current obesity epidemic in the United States has fueled interest in nutrition and physical fitness. For many, the Internet has become a key source of information on these subjects.

Until recently, practitioners focused on the timing of initiation of renal replacement therapy (dialysis) and transplantation once advanced kidney disease had developed. However, a new CKD classification system now provides an action plan for the earlier stages of the disease.

ABSTRACT: The cardinal feature of irritable bowel syndrome (IBS) is abdominal pain or discomfort associated with altered bowel habits. Because no serologic marker or structural abnormality exists, the diagnosis is based on clinical findings. A systematic symptom-based approach, including the Rome II criteria, ensures diagnostic accuracy. Determine whether a specific event-such as gastroenteritis, antibiotic use, or a food-borne illness-precipitated the IBS symptoms. Be alert for warning signs of cancer, infection, or inflammatory bowel disease, such as fever or unexplained weight loss. Only minimal laboratory testing is required; however, further evaluation may be warranted if a patient does not respond to treatment or loses weight, if the dominant symptom changes, or if other "red flags" are identified.

An 83-year-old woman is brought by her daughter for evaluation becauseof increasing confusion during the past few days. The patienthas early Alzheimer dementia, hypertension, and type 2 diabetes. She takes donepezil, 10 mg/d;lisinopril, 5 mg/d; and glipizide, 5 mg bid. She is unable to bathe and dress herself as well as previously,has been crying for no apparent reason, and has lost her appetite.

Ezetimibe/simvastatin (Vytorin)recently became available for thetreatment of high LDL cholesterollevels, as adjunctive therapy to dietarymodification, in patients withprimary hypercholesterolemia ormixed hyperlipidemia. This drug,from Merck/Schering-Plough Pharmaceuticals,inhibits the productionof cholesterol in the liver and blocksthe absorption of cholesterol in theGI tract, including cholesterol obtainedfrom food.

A healthy 23-year-old woman, who is a longtime runner, calls your office the day after shetripped on a tree root while running in the woods and twisted her right ankle. She noted immediatepain on the lateral side of the ankle but did not hear or feel a pop. She was able tobear weight and walked out of the woods. However, as she walked, the ankle became morepainful and began to swell. When she reachedhome, she applied a heating pad and restedthe ankle. The next morning she noted increasedswelling and moderate discomfortwhile walking.

For 8 months, a 44-year-old man hashad a 2-mm superficial ulcer on histongue. The lesion is surrounded bya thin white rim and an area of whitediscoloration. The patient believesthat the ulcer resulted from thescratching of the rough edge of atooth against his tongue.

Nitazoxanide (Alinia), from RomarkLaboratories, has been approvedby the FDA for the treatment ofchildren who have diarrhea causedby protozoa. This agent targetsCryptosporidium parvum andGiardia lamblia.

For 2 weeks, a 60-year-old man had severe nausea and vomiting. Two years earlier, he had had a cholangiocarcinoma, which was treated with palliative cholecystectomy followed by a course of rebeccamycin, an investigational chemotherapeutic agent.

ABSTRACT: High-sensitivity C-reactive protein (hs-CRP), a marker of low-grade vascular inflammation, reflects baseline inflammatory predilection-a key factor in the genesis and rupture of atheromatous plaque. Measurement of hs-CRP is recommended in persons who have an intermediate (10% to 20%) 10-year risk of coronary artery disease; a level above 3 mg/dL indicates higher cardiovascular risk. Although dietary therapy and statins may lower hs-CRP levels, such reductions have not been shown to prevent cardiovascular events or death. Elevated homocysteine levels have been associated with an increased risk of cardiovascular disease. Consider screening in patients with a personal or family history of cardiovascular disease who do not have well- established risk factors. Supplementation with folic acid and vitamin B12 reduces homocysteine levels by about 30%. Elevated fibrinogen levels have been associated with ischemic heart disease and stroke; however, fibrinogen-lowering therapy has not led to better outcomes than standard treatment regimens.

ABSTRACT: The prevalence of erectile dysfunction (ED) is higher among men with hypertension than among normotensive men. Sexual dysfunction is a common side effect of many antihypertensive medications and can lead to noncompliance. Treatment-related ED is more often associated with diuretics and ß-blockers and is less common with angiotensin-converting enzyme inhibitors and angiotensin receptor blockers. If ED complicates therapy, consider switching to an antihypertensive agent with fewer sexual side effects. However, if compelling reasons exist for the use of a particular antihypertensive agent (eg, a ß-blocker in a patient with previous myocardial infarction), several options for the treatment of ED are available. Phosphodiesterase-5 inhibitors have been shown to be safe and effective in men who are receiving antihypertensive therapy.
A symptomatic brown macules developed on the face of a 32-year-old woman 1 year ago. She had been taking oral contraceptives for the past 5 years. Her medical history was unremarkable, and the results of a physical examination were normal.