
Test your knowledge of new American College of Physicians recommendations for improving diagnosis and management.

Test your knowledge of new American College of Physicians recommendations for improving diagnosis and management.

Our month of weekly adult vaccination quizzes is complete. Take the comprehensive post-test and see what you've learned.

Renal and hepatic disease put your patients at high risk for vaccine-preventable disease. Find out what you know about how to protect them.

Do HIV patients need a MenACWY booster? Can pregnant women receive the HPV vaccine? Answers and more quiz questions, here.

Take this quick quiz to test your knowledge of a deadly disease.

What are the most important vaccines your patients with diabetes should receive?


Test your knowledge of the latest management recommendations for a growing public health problem.

This pop quiz will test your knowledge of a difficult diagnosis where the signs and symptoms may seem unrelated.

Take this quick quiz to see what you know about new tuberculosis screening guidelines and the latest research findings.

Take this brief quiz to test your knowledge of skin diseases that may occur on and around the face.

Take this quick quiz to see what you know about the latest research findings.

Take this test and use what you learned as a checklist for advising parents on their children’s safety and well-being.

Several recent findings have enhanced our understanding of medicine and mortality. Take this quick quiz to see what you know.

A young athlete presents with multiple moles on his chest and back. What’s a primary care physician to do? Test your knowledge with this quiz.

Everything from Obamacare to end-of-life care has made the news in recent days. This quick quiz will test your knowledge of the latest developments.

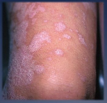
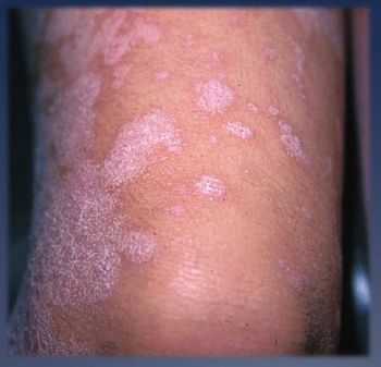
You will likely see these rashes in the course of primary care practice. Take this quick quiz to see what you know.

Take a minute to test your knowledge of the latest findings on key health issues in older persons.

Take this quiz to test your knowledge of new findings for an age-old problem in men.

Take this quick quiz to test your knowledge of a common cutaneous bacterial infection.