
Mycosis fungoides; circumscribed erythematous lesions in a toddler; large abdominal ecchymotic mass . . . some of the challenges for you in this quiz.

Mycosis fungoides; circumscribed erythematous lesions in a toddler; large abdominal ecchymotic mass . . . some of the challenges for you in this quiz.

Fluid-filled blisters; necrobiosis lipoidica; gestational diabetes mellitus . . . Test your knowledge on these and other subjects in this quiz.

Asymptomatic lesion on back; impaired fertility in overweight or obese men; herpes zoster complications . . . Can you answer the 5 questions in this quiz?

A 28-year-old man reports pain on swallowing of a week's duration. He is otherwise in good health. Upper endoscopy and tissue biopsy reveal the cause. What do you see?

Scaling erythema; Epstein-Barr virus infection; one blue, one brown iris . . . test yourself with this 5-question quiz.

A new tender lesion in a man with T2 diabetes; hypertension and gout; TMJ osteochondroma . . . your answers to questions on these and other maladies?

Allergic rhinitis and the “allergic triad,” allergy tests for children, allergic asthma, acute urticaria, a lipstick allergy, allergic contact dermatitis of the scalp-these images show a range of common allergic conditions.

Scarring from mildly tender facial lesions; medications implicated in many emergency hospitalizations of older adults; sugar-sweetened beverages and risk of coronary heart disease . . . questions on these and other topics to challenge you.

A new dark spot on the forehead; overprescribing of benzodiazepines; alcohol and atrial fibrillation . . . can you answer the quiz questions on these topics?

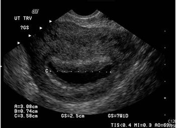
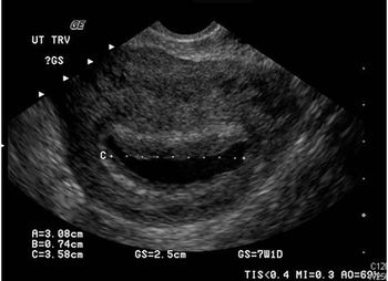
The pain and bleeding have persisted for 2 days. She last menstruated 5 weeks ago but doubts she is pregnant. Take a close look at the ultrasound image. Your Dx?
Discoid lupus erythematosus; pharmacologic options for “statin-intolerant” patients; treatment of diabetic peripheral neuropathic pain . . . questions on these and other topics in this quiz.
A painful nodule that keeps this woman up at night; treatment options for nonalcoholic fatty liver disease; risk factors for statin adverse effects . . . some of the topics in this 5-question quiz.

This patient's presenting symptom, in the context of his overall health, should prompt orders for which follow-up studies?

Test your knowledge of this GI finding with questions on diagnosis, laboratory screening, and removal.
Is this lesion a skin cancer? Does organophosphate poisoning cause syncope? How is tinea pedia complex best treated? Try your hand at this week’s quiz questions.

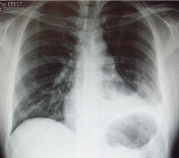
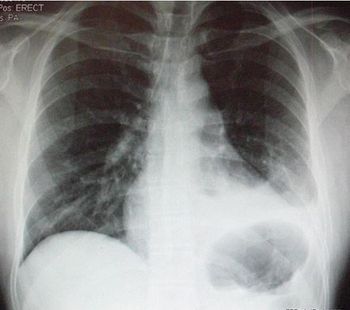
Recovery from a hemopneumothorax had progressed well for this 29-year-old man until today when he presents to the ED with dyspnea and pleuritic chest pain. What do you see on the chest x-ray?

Digital abnormalities; oral candidiasis and HIV-infection; extra dose of MMR; penile rash . . . here: a range of topics to challenge you.

Put yourself to the test: This week’s quiz questions you about skin disease, diabetes, sarcoidosis, atrial flutter, and pain medications.

Test yourself on symptoms of Löfgren syndrome, comorbdities of Down syndrome; complications of diabetes, and more in this week’s quiz.
You may have patients with plans for far-flung summer travel. But have they planned for necessary vaccinations? See if you can advise the family in our travel quiz on appropriate prevention for all.