
Chest pain at rest brought this 42-year-old man to the ED. He had experienced the pain in the past but only on exertion. He appears well on arrival. What does the ECG show?

Chest pain at rest brought this 42-year-old man to the ED. He had experienced the pain in the past but only on exertion. He appears well on arrival. What does the ECG show?


Is eating chocolate really good for your patients’ health? Take this quick quiz on the pros and cons.

Take this quick smoking quiz to brush up on the facts and offer sound clinical guidance to your patients.

Take this brief test on key health facts about drinking water to tap into your reservoir of knowledge, refresh your memory, and offer patients sound advice.

Physicians who aren't alert to the perils of sleep deprivation may not be able to give patients the advice they need. Take this test as a wake-up call.

Red meat has a dark side. Put your knowledge of the risks to the test in this quick quiz.

Take this brief quiz to test your knowledge of the events and trends of 2015 that may matter most to you.

Is beer, the world’s most widely consumed alcoholic beverage, good for patients’ health? Put your knowledge to the test in this quick quiz.

A new flu season is never elementary for primary care. Two questions on flu and its spread that may prove educational.

We’ve stumped you before – and we’re trying again! Our 5 most challenging ImageIQs from 2015.

Guidelines recommend AF catheter ablation to help avoid use of oral anticoagulation. True or False? Answer this and 2 other queries on ablation.
Test your visual diagnostic skills, vote for your preferred Dx and treatment, and learn about 2 common annular lesions along the way.

Pediatricians will answer these 2 nursery-round inspired questions with no trouble. If your Peds rotation was a while back, let's test your memory.

See if you recall a few basics about program eligibility and the vaccines covered by the law. It's a short quiz.

Chronic pain from failed back surgery is notoriously difficult to manage. Might medical marijuana hold promise?

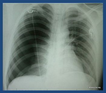
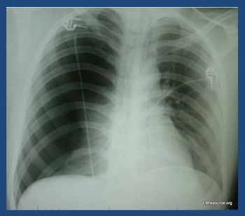
The patient reports the chest pain began 6 days ago during a vacation abroad. She denies any injury. What does the chest x-ray reveal?

The 89-year-old has used topical mupirocin twice daily for several weeks without improvement. Examine the images. What's your diagnosis?

Paroxysmal atrial fibrillation is a first and only dx for some patients; for others it is just the beginning. What do you know about AF progression?