
Disfiguring lesions are the telltale sign of this skin condition. Take this quick quiz to test your knowledge.

Disfiguring lesions are the telltale sign of this skin condition. Take this quick quiz to test your knowledge.

Death from an opioid-related overdose is increasingly common. Take this brief quiz to test your knowledge of the latest research findings.
See what you know about optimal co-management when the patient with hypertension also has Afib, CAD, or heart failure.

Take this quick quiz to test your knowledge of new clinical decision making tools and ideas.

Disfiguring skin signs were seen in all 3 children, but not their parents. Take this quick quiz to test your knowledge of the “fish scale disease.”

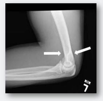
Outdoor recreation is in full swing again. Here are 5 injuries you may need to identify, soon. What are they?

Take this quick quiz to test your knowledge of crying, fussing, and colic in infants.

Our short quiz tests your basic allergy IQ as well as what you might not know about emerging therapy.

Test your knowledge of recent approvals that are significant for primary care.

Does treatment for older men have beneficial effects for other health issues? Take this quick quiz to test your knowledge.

What is the optimal duration for immunotherapy? Can intranasal steroids be combined with LRTAs? Test your allergy IQ.

Find out what you've learned after reading this month's Special Report articles on nonmelanoma lesions you may see in primary care practice.

Test your knowledge by taking this quick quiz on new ACG prevention guidelines.

Take this quick quiz to test your knowledge of the disease and the latest guidance for improving patient care.

Use this short test to gauge how much you’ve learned about a condition that needs more primary care involvement.

Take this quick 8-question quiz to test your knowledge of a troubling inflammatory disorder.

Take this post-test to find out what you learned in our Chronic Pain special report about the conditions you see most often in primary care.

Test your knowledge of drugs used in primary care that received FDA approval this year.

Lymphedema is a difficult diagnosis. Test your knowledge of etiology, signs/symptoms, diagnostic clues, and complications.

Find out what you know about a common neuropsychiatric disorder by taking this quick 8-question quiz.