
This week’s quiz questions challenge you to determine the cause of an infant’s “strange breathing” based on a chest film, to come up with the most common cause of chronic cough in children, to be a dermatologic detective, among other things.

This week’s quiz questions challenge you to determine the cause of an infant’s “strange breathing” based on a chest film, to come up with the most common cause of chronic cough in children, to be a dermatologic detective, among other things.

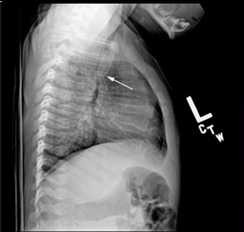
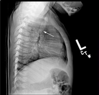
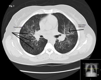
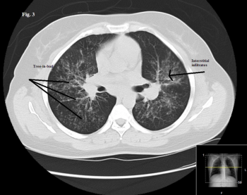
Worsening respiratory symptoms and fatigue of 6 months’ duration brought a 44-year-old woman in for evaluation. Diagnosed with asthma 2 years earlier, she was compliant with, but unresponsive to treatment. Your impressions?

A middle-aged woman presents to the ED complaining of chest pain, dyspnea, and emesis. Here, review results of a 12-lead ECG. How would you confirm a diagnosis of STEMI?
. . . . And then there’s lipoprotein(a), a diagnostic puzzle that involves acute abdominal pain and a CT scan in a woman with a complicated medical history, and skin lesions that look like coins. 5 questions in all. . . .

The presence of reciprocal change supports the diagnosis of STEMI and also is a sign of a high-risk patient.

Brown eyes, blue sclera; stress tests when a patient can’t stress; CRPS type I vs CRPS type II: can you answer these quiz questions?

Tinnitus and hearing loss in HIV infection; allodynia in which pain conditions; aphthous ulcers. . . 5 questions here to challenge your diagnostic and clinical IQ.

What does this chest film tell you about the cause of flank and abdominal pain? We invite you to answer this and 4 other questions about cocaine, opioids, a skin lesion, and hypertension.

Measles complications in children range in severity from mostly benign to fatal. Thankfully we only rarely face any of the top 5 listed here. Can you rank them from what was once most to once least common?

Otitis media is the most common related illness. Here, the other 4 in rank order.
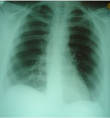
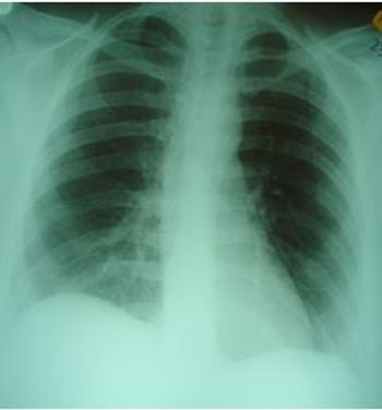
Four photos, 5 questions: see how accurately you can answer our quiz questions that include pulmonary embolism and invasive squamous cell carcinoma of the lung.
Meet patients’ facial skin problems head-on by gaining a familiarity with the common problems and symptoms. This week’s photo quiz offers a variety of presentations to test your prima facie knowledge.

Have you heard of FODMAPS? Here: questions about these carbohydrates and also on onychomycosis and other lumps and bumps.

The patient describes acute onset of chest pain with nausea and diaphoresis. The cardiac and pulmonary examinations are normal. What does the 12-lead ECG reveal?


Lyme disease and other tick-borne illnesses occur most often in the late spring and summer months, many with similar presentations, making this a good time to test your knowledge of these pesty posers.

PCOS; Charles Bonnet syndrome; amyotrophic lateral sclerosis ... questions about these 3 conditions and 2 others: see how accurately you can answer this week’s quiz questions.

Benzodiazepines and opioids; visual hallucinations; solid food dysphagia . . . can you answer this week’s quiz questions?

Many skin disorders look alike, and psoriasis can be especially tough to diagnose. Take this photo quiz to test your knowledge of these similar syndromes.