
Optimal therapy of neuropathic pain? Optimal anticoagulation with a mechanical aortic valve? What’s the significance of a positive Hoffman sign? See if you can answer these and 2 other of our quiz questions.

Optimal therapy of neuropathic pain? Optimal anticoagulation with a mechanical aortic valve? What’s the significance of a positive Hoffman sign? See if you can answer these and 2 other of our quiz questions.

More than 100 million children per year now are immunized against vaccine preventable diseases. But 6 of these infections still claim hundreds of thousands of lives-can you spot them in a line-up?

Diagnosing and managing infectious diseases can be challenging. This week’s photo quiz offers a variety of presentations to test your acumen.

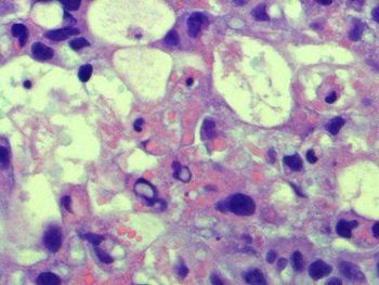
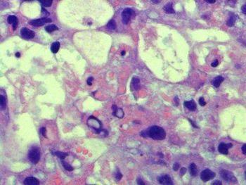
This 32-year-old woman's family brought her to the ED after 2 days of progressive confusion, fatigue, and weakness. Her multiple medical problems included juvenile-onset diabetes mellitus. Here, more details and a management challenge.

Hyperkalemia is the most serious of the electrolyte disorders and can lead to death if not managed appropriately.

Complications of heroin use; RLS; thyroid nodule: we present 5 questions on these and other topics to challenge you this week.

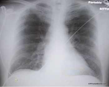
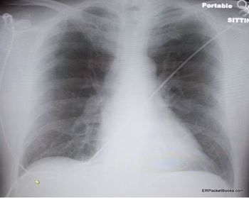
The symptoms have worsened over a 2-month period. Past medical history is unremarkable. Here, review the ED chest x-ray film and ECG. Do you see any clues to a diagnosis?


Back and neck complaints rank among the top reasons for visits to primary care physicians. Take this week’s photo quiz to test your knowledge of these sometimes mysterious disorders.

Many medical problems are common to both men and women, but several occur more frequently in women. This week’s photo quiz tests your knowledge of a variety of these disorders.

Plus, see what you know about parotid masses, thyrotoxic periodic paralysis, new antivirals for hepatitis C, and postpartum neurologic deficits-all topics in this week’s quiz.

Spring is here and brings with it the peak allergy season. Patients will present with a variety of allergic diseases, both seasonal and otherwise. This week’s photo quiz tests your knowledge of these disorders.

Which meningococcal vaccines can now be given to very young infants? Can a Mediterranean diet lower inflammation? What does regular narrow QRS complex tachycardia imply? Can you answer these questions and 2 others?

The mediastinal benign schwannomas is a nerve sheath tumor composed of Schwann cells. These tumors are often asymptomatic and found incidentally.

Two weeks after injury to the right chest wall and shoulder, the patient continues to have pain. He also reports numbness and tingling in his hands bilaterally. What do the ED images reveal?

The patient denies dizziness, weakness, chest pain, and dyspnea. Review case details including ECG results. What's your diagnosis?

Management options for PSVT in a stable patient include vagal maneuvers, medications, and electrical synchronized cardioversion.

Test yourself on restless legs syndrome; germ cell tumors; statin use; autoimmune syndromes; and sleep apnea with this quiz.

Progressive numbness in 3 fingers on both hands led this computer programmer to diagnose himself as having carpal tunnel syndrome. But, there's more to this story.
