
Patients frequently present with hand disorders, and the hands often show changes that reflect a disease that affects other parts of or the whole body. This week’s photo quiz offers several presentations to test your knowledge.

Patients frequently present with hand disorders, and the hands often show changes that reflect a disease that affects other parts of or the whole body. This week’s photo quiz offers several presentations to test your knowledge.

Pain affects more Americans than diabetes, heart disease, and cancer combined. It may be a part of a disease, or it may be the disease itself. Here, test your knowledge of this troubling diagnostic challenge.
As the incidence of malignant melanoma continues to rise, so does primary care physicians’ need to identify pigmented lesions for early detection. Take a look at these presentations to test your knowledge.

The latest on HIV and questions on Crohn disease, hypertension, and OSA: see how accurately you can answer these 5 questions...

No longer considered a single entity, hypertension is part of a larger disease group that includes obesity, diabetes mellitus, kidney disease, and other concerns. Test your knowledge of hypertension and related problems.

Here: factors that can affect home BP readings . . .when to start antiretroviral therapy . . . coping strategies for the challenges of aging . . . triggers to avoid in hyperthyroid patients . . . insights into causes of childhood obesity.

Better understanding of this complex condition can lead to better patient care and prevention. This week’s photo quiz offers several presentations to test your knowledge.

Dizziness “zebras,” ECG portents of MI, asthma exacerbations, iatrogenic pulmonary edema, diabetes risk . . . give the questions in this week’s quiz a whirl.

Radiographically occult wrist fractures, polypharmacy, invasive infection and hepatocellular carcinoma in HIV-infected patients. . . . here: a variety of subjects for you to test your clinical range.

Alpine skiing, snowboarding, bobsledding, ice hockey … the ongoing Winter Olympics in Sochi serve as a cold reminder that injuries plague athletes around the world. Test your knowledge of common sports injuries here.

Many older adults have several related medical problems that have various causes and involve many parts of the body, complicating patient care. This week’s photo quiz offers some common geriatric presentations to test your knowledge.

Headache and nausea have bothered this 28-year-old for 3 days. Over-the-counter analgesics do not help. She reports the headache lessens during the day. What more do you need to know?


A medication change? Repeat colonoscopy with chromoendoscopy? Colectomy? Other?


Can you discern the anomaly in this patient's ECG? What clue(s) does it provide to the underlying pathology?

It’s not just what you don’t eat . . . it’s apparently what you do eat that can help reduce diabetes risk. Can you answer 5 questions about diabetes risk, strategies to reduce your work load in the wake of the ACA, masked hypertension, and thyroid nodules?

The ECG is frequently the initial diagnostic tool used by clinicians when evaluating patients with suspected acute coronary syndrome.

See if the results of this 62-year-old woman's colonoscopy help you identify the source of her abdominal pain.

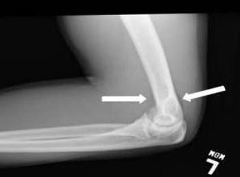
Bone problems run the gamut from low bone density and osteoporosis to sports and exercise injuries to congenital disorders. Take this week’s photo quiz to test your knowledge of bone disease and related concerns.