
Take a short break from the clinic and try 2 quick questions about the injectable gut hormone analogs.

Take a short break from the clinic and try 2 quick questions about the injectable gut hormone analogs.

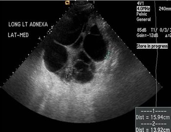
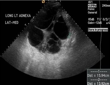
The woman reported no other abdominal or gastrointestinal symptoms; menses were regular; a pregnancy test was negative. What next?

When are antiviral drugs appropriate to treat "shingles" and what is the first-line treatment for post-infection pain?

Is this pruritic lesion just unsightly, or is it indicative of a dangerous condition? Test your acumen in this quiz.

Two lesions have been slowly expanding on an older man’s chest for 2 years. What is the problem? This and questions on 3 other topics in this quiz.


This waxy eyebrow lesion appears to be stuck to the skin. Do you know what it is? See how well you do with the questions in this quiz.

How would this 34-year-old man become exposed to levamisole?

Can you identify the most common symptoms of Löfgren syndrome ?

A patient with a history of moderately severe and extensive plaque psoriasis now has a rash on her hands unlike any skin problem she has previously experienced. Do you know what this is? Answer this question and 4 others in this quiz.

The patient drove himself to the ED after experiencing symptoms while playing basketball. He has a history of anxiety, but is this more than a case of nerves over a missed foul shot?

Be alert for the pitfalls in ECG interpretation of ACS. An initial tracing can be normal in about 10% of cases, even during chest pain. Nonspecific changes occur in another 5% to 15% of cases.

This lesion began to develop multiple colors. Is there cause for concern? Test your knowledge on 5 topics in this quiz.

This benign, solitary, nodular tumor on the lower eyelid arises from the follicular infundibulum. What do you know about this condition and the 4 others in this quiz?

Aspirin-exacerbated respiratory disease (AERD) is chronic, often severe asthma. Episodes can be life-threatening. Find out what you know about AERD after answering these 6 short questions.

Two small children, two opportunities to administer the live MMR vaccine. Who gets the shot and who does not?

For many obese adults, diet and exercise are not enough to achieve durable weight loss. Three drugs are approved in the US as adjunctive therapy for obesity management. Weigh in with what you know with answers to these 3 questions.

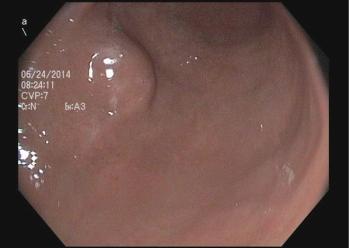
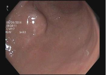
The incidental finding was noted during screening endoscopy for Barrett's esophagus. Can you answer these 3 questions on next steps and management of the case.

What is your command of the components of this risk prediction tool for patients with atrial fibrillation? Find out with our 4-question quiz.

Successful identification and treatment of depression is possible in busy primary care settings. Here are 5 questions about depression to test your knowledge.