
What does fractional exhaled nitric oxide have to do with a diagnosis of asthma? Find the answer and 6 more questions in this asthma pop quiz.

What does fractional exhaled nitric oxide have to do with a diagnosis of asthma? Find the answer and 6 more questions in this asthma pop quiz.

Oral etidronate, IV pamidronate, and then zoledronate caused bone markers to normalize in this 80-year-old woman-temporarily. What’s going on? Answer this and questions on 3 other topics in this week’s quiz.

How good are your hunches when it comes to cases of possible child abuse? Can you determine which cases need to be reported to Child Protective Services and which require a medical diagnosis? See how well you do with the 5 cases presented here.

Is there a connection between this patient’s symptoms and the thin red-brown lines under his nails? Answer this question and 4 others in this quiz.

Abrasions, ecchymoses, and a 3-cm laceration led to infection with Morganella morganii. What do you know about this pathogen? In this quiz: questions on wounds that resulted from falls.

Joint pain and dactylitis: does this combo suggest the need to test for HIV infection? Test your dermatologic prowess and answer 4 other quiz questions here.

Eruptive xanthomas; smooth-shaped, deeply placed nodules; a solitary itchy patch . . . how much do you know about these and 2 other disorders?
Subungual infection; “raccoon eyes;” bed bug bites. . . a quiz to challenge you.

Bumps on the face; opioids and alcohol; dysmorphic facial features in 6-month-old boy . . . questions on these and other topics in this quiz.
While demonstrating his retro dance moves, a 31-year-old injures his knee doing “the Twist.” Now he can barely walk. Would you order an x-ray?

An occult fracture in the knee is most often a nondisplaced lateral tibial plateau fracture.

The key diagnostic clue: it looks like she tried to wipe grease off her hands, but didn’t succeed.

Here’s a quiz about enterovirus, PFO, diastematomyelia, the depression/asthma connection, and an HIV complication. Can you answer the 5 questions correctly?

Here are 5 photos of non-healing ulcers: can you make the diagnosis?

While it is unlikely that Ebola will become a problem for most clinicians in the US, it is prudent to be prepared. Test your knowledge of this rare, but deadly disease with a clinical scenario.

Dyspnea and blood-streaked sputum; severe URI followed by rash; chronic pain; Lemierre syndrome . . . how well will you do on this quiz?

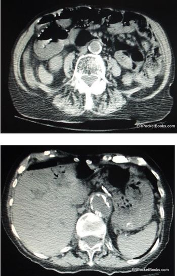
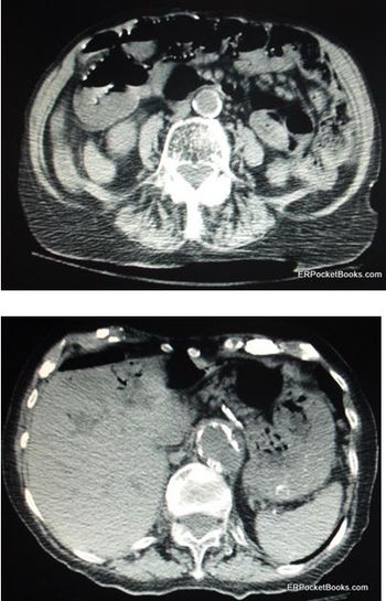
At risk for mesenteric ischemia-an uncommon but feared cause of abdominal pain-are the elderly and chronically ill.

Thyroglossal duct cyst; HCV-HIV coinfection; slurred speech and trouble swallowing and chewing . . . see how well you do on the quiz questions this week.

Mottled skin; neuropathic pain; syncope . . . test yourself on these and other subjects.

When you want to distinguish between asbestosis and silicosis, what imaging finding is inconsistent with the former disease?