
Obesity/respiratory infections; lung disease/cognitive function; Q&A/alcohol dependence. Why are these pairs linked? Get 3 answers plus 2 more questions in this week’s quiz, here.

Obesity/respiratory infections; lung disease/cognitive function; Q&A/alcohol dependence. Why are these pairs linked? Get 3 answers plus 2 more questions in this week’s quiz, here.

Primary care physicians play a central role in preventing and managing cardiovascular disease. Take a look at the variety of presentations in this week's photo quiz to test your knowledge.

Primary care physicians treat the majority of patients with respiratory diseases, where diagnosis often depends on early recognition of suggestive symptoms. This week’s photo quiz offers several presentations to test your knowledge.

The National Childhood Vaccine Injury Act of 1986 mandates that providers of vaccines follow well-prescribed guidelines. Find out if you know NCVIA right from wrong with this true/false quiz.

Many medical disorders occur more frequently in the cold, dry weather of the winter season. Take this week’s photo quiz to test your knowledge of these hazardous conditions.

Some interesting take home-points for your practice from recent studies and surveys: learn the details in this 5 question quiz.

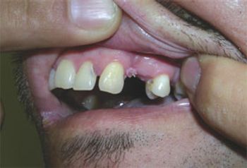
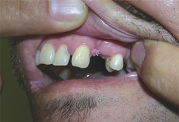
These presenting symptoms began after a near syncopal episode. The patient has no significant medical or surgical history. More details, here.

The types of digestive disorders are many, and the symptoms vary widely. This week's photo quiz offers a variety of presentations to test your diagnostic acumen.

A beautiful baby with a yellow plaque. . . . idiopathic chilblains . . . 5 questions here to challenge you.

Heart disease, stroke, and cancer are leading causes of death in men, but they present to primary care with a variety of other, often difficult-to-diagnose concerns. Take this week’s photo quiz to test your knowledge of men’s health issues.

A homeless man with lithophagia; hereditary trichoepithelioma; IBD mimics: can you answer this week's quiz questions about these and 2 other disorders?

Here, 3 slide shows that were the most popular of our weekly offerings in 2013. Have a go at the quiz questions and see how well you do.

Injuries and overuse often are the cause of knee disorders, but chronic conditions also create problems. This week’s photo quiz offers several presentations to test your knowledge.

Here: 5 questions that test your knowledge of gout, psoriasis, COPD, and dermatologic lesions.

Four photos, 5 short real-life cases: can you solve these 5 diagnostic mysteries?

Small and nondescript, subungual splinter hemorrhages should prompt further investigation.

Thin dark lines beneath the fingernails are the only physical findings of note in a middle-aged man who presents with cough, fevers, and arthralgias.

Diabetes has numerous signs, symptoms, comorbidities, and complications. Test your knowledge of this complex condition.

The symptoms of a nervous system disorder often resemble those of other medical conditions or problems. Test your understanding and diagnostic skills here.