
The "bruise" arose after the 20-month-old bumped his cheek on a piece of furniture 1 month ago. Can you identify the lesion?

The "bruise" arose after the 20-month-old bumped his cheek on a piece of furniture 1 month ago. Can you identify the lesion?

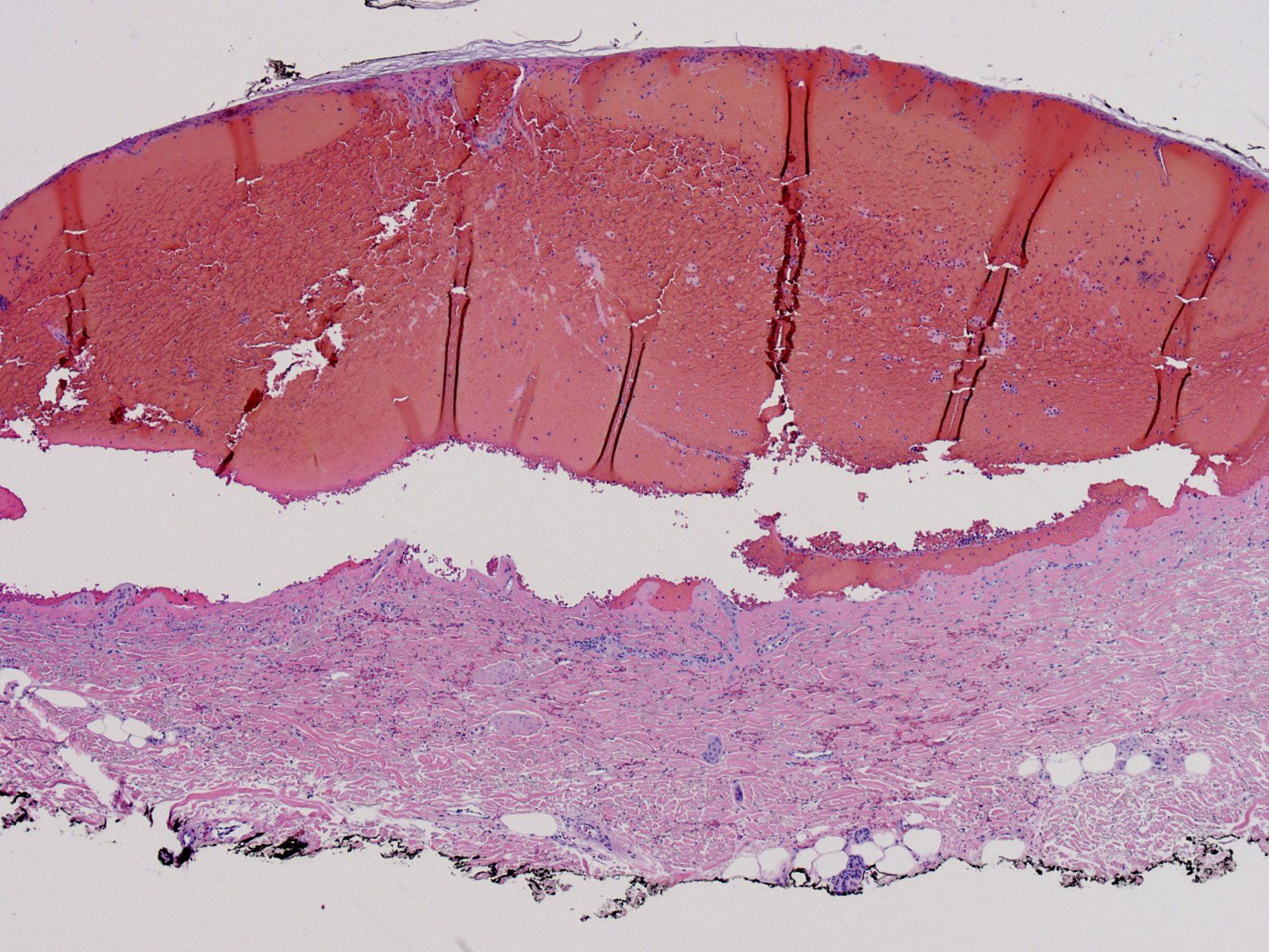
A pruritic, scaly rash appeared on this 42-year-old man's elbows, knees, lower back, and buttocks. Can you ID?

An 89-year-old woman is seen for an erosion on the frontal area of the scalp. History is positive for actinic keratosis. What's your Dx?

The rapidly expanding lesion began as a small boil in the center of the ulcerated area 4 weeks ago. What underlying process do you suspect?

A 31-year-old woman presents with ongoing weakness and malaise and says her skin seems to be getting darker without exposure to the sun. Your Dx?

The lesions may mimic infectious, vascular, inflammatory and other ulcers; they do not respond to antibiotics and debridement often exacerbates the ulcer.

Painful red lesions on the shins. Trauma? Tumor? Inflammation? The diagnosis is in the detailed differential you'll follow in this slide show.

Test your visual diagnostic skills with this slide-show case of a young boy with an odd facial lesion of approximately one month's duration.

8-year-old Al is in for follow-up of an ear infection, but his mother is more interested in why no hair will grow on that spot on the back of his head.

The patient has similar lesions elsewhere on his body. Treatment with a topical steroid was unsuccessful. Can you ID?

Test your visual diagnostic skills, vote for your preferred Dx and treatment, and learn about 2 common annular lesions along the way.

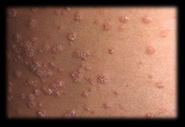
An 11-year-old boy breaks out quite suddenly with a rash of papulosquamous lesions with a silvery scale. Can you Dx?

Case study: What would cause a shock of stark white in the center of this child's otherwise black head of hair? Your Dx?

The 89-year-old has used topical mupirocin twice daily for several weeks without improvement. Examine the images. What's your diagnosis?

A summer tan failed to conceal this embarrassing rash on an 18 y/o boy’s arms, back, and chest. Can you make a diagnosis?

The young man is missing school because he is self-conscious about the hypopigmented lesions on his arms, back, and chest. Can you make the diagnosis?

Sonidegib becomes second hedgehog inhibitor for locally advanced disease.

These slides summarize the latest sun safety dos and don’ts, providing the most sound and sensible patient education recommendations under the sun.

The patient says the incidental finding appeared in adulthood and has been stable for years. Can you identify this reticulated erythema?

What are the characteristics of this blistering rash caused by exposure to UV light?

Is this pruritic lesion just unsightly, or is it indicative of a dangerous condition? Test your acumen in this quiz.

Two lesions have been slowly expanding on an older man’s chest for 2 years. What is the problem? This and questions on 3 other topics in this quiz.

This is a very distinct, rare, and remarkable hemorrhagic rash, first recognized in 2006, with 7 known cases reported in the literature.

What’s the underlying cause of current cellulitis in this morbidly obese man?

There is a lot of new information about the link between various malignancies and inflammatory bowel disease. Here: answers to 3 key questions.