
New guidelines recommend benzoyl peroxide for most patients with comedonal acne and all patients with inflammatory acne-especially those who receive a topical or oral antibiotic as therapy, in whom it can prevent antibiotic resistance.

New guidelines recommend benzoyl peroxide for most patients with comedonal acne and all patients with inflammatory acne-especially those who receive a topical or oral antibiotic as therapy, in whom it can prevent antibiotic resistance.

Would Mohs surgery be indicated for this 68-year-old man?

Texting without gloves while sitting on a ski lift explains the onset of this rash in a patient with a long history of widespread psoriasis.

This woman was snowboarding over a very cold weekend and developed a pustular rash at night after her activities.

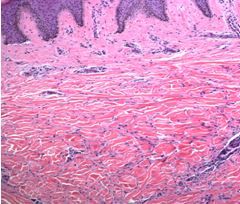
This lesion began to develop multiple colors. Is there cause for concern? Test your knowledge on 5 topics in this quiz.

This benign, solitary, nodular tumor on the lower eyelid arises from the follicular infundibulum. What do you know about this condition and the 4 others in this quiz?

This tongue-twister of a dermatosis is the most common type seen during pregnancy and primarily occurs in women carrying twins or triplets.

This 13-year-old boy presents with hyperpigmented skin on his neck. He is 66.75 inches and weighs 232 pounds. Your suspicion?

These discolored, scaly lesions on this young man’s trunk have recurred for the past 2 summers. He reports that the rash becomes “irritated and itchy” when he is in the sun.

You might not think of sarcoidosis in this patient’s case, but that’s the point. Here: teaching points about a disease not to be missed.

This afebrile baby presents with a target-shaped, centripetal rash. He has been taking amoxicillin for 5 days for an ear infection.

This asymptomatic, hyperpigmented lesion was first noted 5 years earlier on the left upper back of a 16-year-old boy. A nevus? Cafe au lait spot?

This monomorphic papular rash is unrelated to medications, recent sickness, or exposure to poison oak. It developed about 6 days earlier.

This highly pruritic rash has been present for about 2 weeks. The teen says he believes it is spreading. What's your diagnosis?

Abrasions, ecchymoses, and a 3-cm laceration led to infection with Morganella morganii. What do you know about this pathogen? In this quiz: questions on wounds that resulted from falls.

A macular rash has been spreading for 5 days after the cheerful child started amoxicillin therapy. What’s the most likely cause?

Patients with dermatitis herpetiformis should be referred for consultation with a gastroenterologist for evaluation and follow-up.

This rash began as a small red patch about 10 days earlier while the patient was at wrestling camp.

Does this rash look like impetigo? Herpes? Tinea? Cellulitis? Here's a close look and a link to the answer and discussion.

Drugs, diseases, guidelines, databases-all at the touch of an app. Here: a selection of smartphone/tablet applications that may make your clinical practice a little easier this coming year.

Dermatofibromas may present as papules or nodules that are elevated or slightly depressed. Suspected etiology includes skin injury such as insect bites.

This self-limited albeit recurrent condition is often triggered by antigenic stimuli, including infections, most often HSV, and medications.

Bumps on the face; opioids and alcohol; dysmorphic facial features in 6-month-old boy . . . questions on these and other topics in this quiz.

The key diagnostic clue: it looks like she tried to wipe grease off her hands, but didn’t succeed.

A 58-year-old man asks about this painless lesion on his left third digit. It does not itch, burn, or sting and there are no other similar lesions. He had a history of basal cell carcinoma on the arm and several more recent actinic keratoses on his scalp. What’s your diagnosis?