
The use of pre-exposure prophylaxis for HIV prevention among men who have sex with men has doubled each year since 2012.

The use of pre-exposure prophylaxis for HIV prevention among men who have sex with men has doubled each year since 2012.

Both oral and anal sex have been linked to an increased risk of STD and HIV transmission in heterosexuals, say CDC researchers.

Structural barriers may explain the HIV epidemic among women in the American South.

Findings from the largest study to evaluate sex differences in HIV-related cognitive dysfunction.

This study may help alleviate doubts about whether laypersons can perform the test and interpret the results correctly on their own.

Results of this study suggest a combined epidemic of sexual ill-health, drug use harms, and mental illness among HIV-positive MSM who engage in slamsex and chemsex.

The "new year" is now in full swing and new drugs are being approved each month; check out our slideshow to get up to date on 9 drugs approved in the first quarter for primary care.

PrEP can decrease risk of HIV transmission. It can also contribute to risky sexual behavior and STIs.

The population of children who had prenatal exposure to HIV and to antiretroviral agents who do not become infected with HIV is growing. What effect do ARVs have on neurodevelopment in this group?

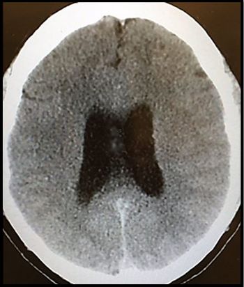
A 34-year-old man with a history of HIV says family members are exaggerating his symptoms but that the headache and double vision are bothersome.

Clinical trials of second generation direct-acting antivirals in HCV show high cure rates. But do those rates reflect real life?

This case study of 2 patients suggests that very early antiretroviral therapy is not enough to prevent formation of latent viral reservoirs and prevent HIV rebound on treatment discontinuation.

Here: a quick look at newly approved agents for primary care that will soon be coming your way.

A systematic approach may help more primary care clinicians identify men who have sex with men among their patients, which in turn could help them focus on patients in need of more frequent HIV testing and preventive services.

"What we need to do now is to help people with HIV realize the full potential of their much-extended life expectancy."

When it comes to cannabis use, one issue is when.

Why has the HIV epidemic shifted from affluent gay white men in New York and San Francisco to impoverished people of color in the South?

While a few studies have suggested that HAART therapy is generally cardioprotective, the long-term impact of prenatal and postnatal exposure on cardiac structure and function has remained unknown. A new study sheds light.

It’s how much cannabis your patients with HIV infection smoke now-not over their lifetime-that appears to affect their cognition.

What does the office-based ECG tell you about the patient's complaint of recently worsening asthenia and dyspnea?

Eleven new drugs for HIV representing 5 new categories of mechanism of action are now in various phases of clinical trials. Here's an overview.

Here’s a case in point about progressive multifocal leukoencephalopathy in a patient with long-standing HIV who had never taken HART.

In new guidelines, the WHO and CDC stress that women should not be denied access to progestin-only injectables. The CDC recommendations for other hormonal contraceptive methods remain unchanged.

Patients coinfected with HIV and HCV who drink at least 3 cups of coffee a day can cut their risk of dying in half, says a new study.

An intelligent risk stratification algorithm can trigger a prompt for clinicians to offer an HIV test when they are ordering routine blood tests, potentially leading to earlier HIV diagnoses.