
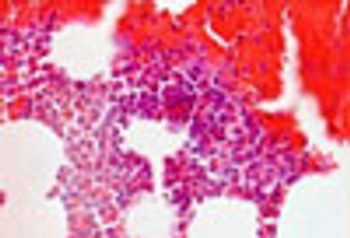
Mycobacterium avium complex enteritis; cytomegalovirus; Whipple disease; sprue: what endoscopic findings reveal the cause of worsening diarrhea in this HIV-infected man with a CD4 cell count of 32/μL?

Mycobacterium avium complex enteritis; cytomegalovirus; Whipple disease; sprue: what endoscopic findings reveal the cause of worsening diarrhea in this HIV-infected man with a CD4 cell count of 32/μL?

Eosinophilic ascites is an extremely rare presenting sign of hypereosinophilic syndrome.

To gain a better understanding of this national and global epidemic and its impact, consider these key facts and figures.

Not only does the welcome long-term survival of HIV-infected patients put them at risk of ordinary age-related bone loss, antiretroviral therapy leads to a decline in bone mineral density. What can be done?

HIV-infected men had a 2-fold increased risk of non–virus-related, non–AIDS-defining cancers compared with the general population living in the same area.

For HIV/AIDS patients, adherence to scheduled clinic visits is linked with perception of quality of care.

Fecal microbiota transplant is thought to help restore the diversity of microbiota in the gut and allow restoration of colonization resistance.

Brain infarcts among crack cocaine users may be secondary to large cerebral artery vasospasm with secondary intravascular thrombosis (with or without distal embolization).

This finding may have implications for patients who experience insomnia related to post-traumatic stress disorder and other anxiety disorders.

Antiretroviral therapy may not halt neurocognitive decline even in patients who have normal CD4 counts and undetectable viral loads.

This non-specific pruritic eruption is a common manifestation associated with HIV infection, especially in the pediatric population.

Women tend to be excluded from pharmaceutical company-sponsored trials of antiretroviral medications.

What caused vesicles and erythema and swelling of left auricle in this HIV-positive patient?

Images: oral hairy leukoplakia, oroesophageal candidiasis, disseminated cryptococcosis, Stevens-Johnson syndrome, eosinophilic pustular folliculitis, prurigo nodularis.

HIV-infected patients are undertreated for hypertension and at higher risk for cardiovascular complications than age-matched controls.

In HIV-infected patients receiving HAART, fatigue and orthostasis are highly prevalent.

Ramsay Hunt syndrome is a peripheral facial neuropathy that causes unilateral lower motor neuron pattern facial weakness. It is associated with a painful erythematous vesicular rash of the ear or nearby areas and/or oropharynx.

To what diagnosis does this painful swollen ear point in an HIV-positive man?

One expert calls it "HIV all over again," but the revolution in hepatitis C treatment has taken place more quickly. And the new drugs act more quickly and effectively.

Betatrophin, a naturally occurring hormone, may help restore beta cell mass, and so insulin production, lost through the pathologic changes of the diabetic process.

New technology can rapidly diagnose TB and other important bacterial infections, as well as determine the presence of antibiotic-resistant bacterial strains.

The top men's health concerns include heart disease, cancer, accidents, and chronic lower respiratory diseases. This compact slide show provides visual presentations of other clinical problems that pose a threat to men and that might be seen in primary care practice.

To suggest today that condoms are “obsolete” sounds heretical and like a topic ripe for heated debate. Here, HIV/AIDS blogger Dr Rodger MacArthur lays out the science for your review.

A positive HIV test result is conveyed confidentially and in person by a clinician, nurse, counselor, or other skilled staff.

Key points for primary care physicians from a new study: HIV-positive women are vulnerable to invasive cervical cancer. This finding underscores the need for screening per guidelines and to follow-up on abnormal Pap smears.