
HIV AIDS
Latest News
CME Content


Antiretroviral therapy has dramatically reduced AIDS-associated morbidity and mortality -- but only in those who know they are HIV positive and if they maintain sustained engagement with care.

Zidovudine is safe and effective in reducing transmission of HIV from mother to infant but rare serious side effects do occur. Is it worth the risk?

The paradigm of HIV care is changing for aging patients. This study sheds new light.

One in 6 new HIV diagnoses occurs in people over age 50. Are you routinely asking your older patients about their sexual history?

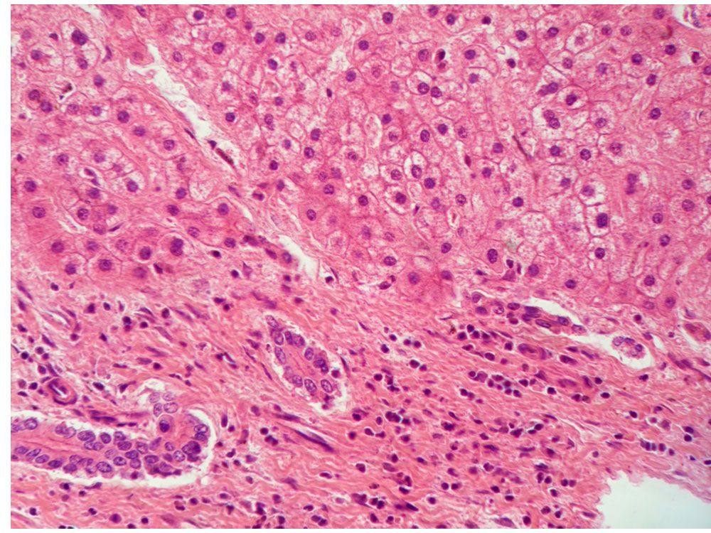
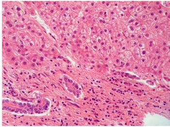
What is the cause of this severe rash in a 60-year-old man with HIV?

Do doctors’ politics affect treatment decisions on, for example, drug use, firearms, and sexual behavior? Do yours?

A new report aims to outline best practices in offering counseling and guidance to adolescents with HIV infection.

They often willingly accept pre-exposure prophylaxis when offered.

How frequently -- and effectively -- is pre-exposure prophylaxis being employed in adults and adolescents in the US who are at risk for HIV infection?

Who could have believed this statement even 5 years ago? "With these treatment regimens, survival rates among HIV-infected adults who are retained in care can approach those of uninfected adults."?

There is general consensus among public health authorities that the elderly are not being screened for HIV as frequently as are younger persons. But there is compelling reason to do so.

Here's a concise update on the latest DHHS Guidelines for the use of antiretroviral agents in HIV-infected persons.

I'll soon be leaving my HIV-infected patients, some of whom I've taken care of for more than 20 years. The emotions? The outcomes? The lessons?

Here is a “how to” guide for the initial and subsequent management of HIV infection.

Here: a step-by-step guide to the ART management of HIV-infected individuals who are “heavily treatment experienced.”

The South bears the greatest burden of HIV infection, illness, and deaths of any US region, and "lags far behind in providing quality HIV prevention and care to its citizens.”

Taking a detailed sexual history can be uncomfortable, but it's critical in an HIV/AIDS patient. There is too often a devil deep in those details.

Intermittent (vs daily) pre-exposure prophylaxis in men who have unprotected sex with men yielded an 86% relative reduction in new HIV infections in a new study. The caveats?

Do you know which symptoms might warrant consideration of the acute retroviral syndrome?

A new study suggests that cognitive impairments in older HIV-infected individuals may be even more prevalent than previously thought.

Do you know which patients would benefit from PrEP? The CDC reports that many American adults who could benefit from HIV prophylaxis aren't receiving treatment.

This AIDS specialist predicts that the era of 2-drug regimens will be upon us. He explains why here and writes, "remember: you read about it first here."

How far are we from achieving the goal of diagnosing and treating 90% of HIV-infected people to an undetectable HIV RNA level by 2020?

Depression is a major barrier to HIV care. But depression treatment can significantly reduce depressive severity--and improve HIV outcomes. Details here.



















































































































































































































































































