
Like other pharmaceuticals, ACE inhibitors have their own adverse-effect profile. Find quick answers here to clinicians’ FAQs.

Like other pharmaceuticals, ACE inhibitors have their own adverse-effect profile. Find quick answers here to clinicians’ FAQs.

A patient with a history of moderately severe and extensive plaque psoriasis now has a rash on her hands unlike any skin problem she has previously experienced. Do you know what this is? Answer this question and 4 others in this quiz.

Drugs, diseases, guidelines, databases-all at the touch of an app. Here: a selection of smartphone/tablet applications that may make your clinical practice a little easier this coming year.

Hypertension and diabetes, hypertension and stroke/dementia, renal artery stenosis and hypertension in children, pulmonary arterial hypertension, portal hypertensive gastropathy, central retinal vein occlusion-a close look at some common hypertension-related conditions.

A new tender lesion in a man with T2 diabetes; hypertension and gout; TMJ osteochondroma . . . your answers to questions on these and other maladies?

Brown eyes, blue sclera; stress tests when a patient can’t stress; CRPS type I vs CRPS type II: can you answer these quiz questions?

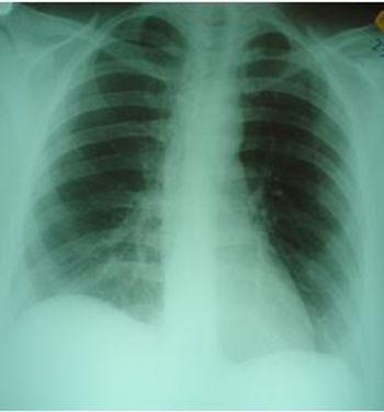
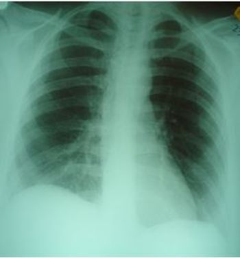
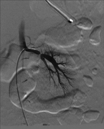
What does this chest film tell you about the cause of flank and abdominal pain? We invite you to answer this and 4 other questions about cocaine, opioids, a skin lesion, and hypertension.

Even moderate amounts of exercise can lower the risk of death in older men with high blood pressure, a new study shows.

A greater focus on potential barriers may help prevent errors, increased costs, and poor patient outcomes.

All patients with stroke should have their blood pressure lowered to normal levels, a new study shows.

No discussion of medication errors should exclude traditional medication-related problems, such as those associated with confused drug names.

No longer considered a single entity, hypertension is part of a larger disease group that includes obesity, diabetes mellitus, kidney disease, and other concerns. Test your knowledge of hypertension and related problems.

Here: factors that can affect home BP readings . . .when to start antiretroviral therapy . . . coping strategies for the challenges of aging . . . triggers to avoid in hyperthyroid patients . . . insights into causes of childhood obesity.

There may be a difficult tradeoff between treating patients with hypertension and preventing serious fall injuries.

Certain modifiable risk factors-ncluding heart rate, smoking status, and antihypertensive medications-affect blood pressure in patients with type 2 diabetes mellitus. And variability in blood pressure has an important role in progression of organ damage.

There would be more blood pressures available for review and no confounding readings because of the white coat effect.

Where are we left after a flurry of hypertension publications as 2013 was ending and 2014 beginning? Let’s summarize our recent encounters with the available facts.

If you combine the simplified targets found in JNC 8 with the practical directions offered by the ASH 2013 update, will you actually reach the elusive destination (hypertension control)? Maybe. More, here.

I can see the target destinations on the JNC map, but I need a car and gas to get there.

Here: 9 recommendations that comprise the latest JNC 8 guidelines. Was it worth the wait?


Here: 5 questions that test your knowledge of gout, psoriasis, COPD, and dermatologic lesions.

Warning: The maximum daily dose of a single dispersible medication may itself contain more sodium than is recommended from all sources in a day.

The revised guidelines relax some BP targets, incorporate daytime ambulatory and nocturnal BP measures, and recommend that the decision to treat be based on a patient's overall cardiovascular health.

Patients with type 2 diabetes mellitus should be monitored with ABPM if they are at high risk for cardiovascular complications, according to the results of a new study.