
After stroke and bleeding risk are calculated and anticoagulation commences, hypertension control is essential to prevent CV events.

After stroke and bleeding risk are calculated and anticoagulation commences, hypertension control is essential to prevent CV events.

The author wants your opinion on the habitual titration of β-blockers in patients with comorbid HF who are not at BP goal.

More patients were found to be at blood pressure goal in primary care settings vs specialty practice in a new study. Our author looks at possible reasons why.

Anything less than comprehensive care for type 2 diabetes is quickly becoming old school.

Hypertension is common and dangerous in HIV-infected persons. Primary care plays a vital role in detecting early signs and initiating treatment.

Since aldosterone has become a pivotal hypertensive hormone, screening with or without confirmation should be part of primary care practice. Here's a straightforward approach.

In patients with advanced renal disease, this is a persistent clinical question, but why?

Attention to a few easily obtained details can prevent serious sequelae in patients with T2 diabetes complicated by cardiovascular and renal disease.

Is fixed-dose combination therapy your go-to for an initial hypertension diagnosis? If not, why not?

Study: each gain of 5 kg was linked to a 17% drop in odds of healthy aging. A powerful message for young patients.

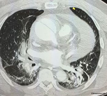
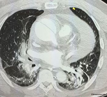
The patient with hypertension and syncope had cardiac tamponade. Causes, symptoms, and treatment described here.

A man with a history of hypertension had syncope and felt “sweaty.” Chest x-ray was normal. What’s your next test?

Have a quick look at 5 apps that track BP, estimate risk, chart DASH, just say "Ohm," and more.

Take this quick and easy quiz to test your knowledge of the latest research findings.

Only half of patients with hypertension have this dangerous condition under control. Highlights of 8 new studies, here.

See what you know about optimal co-management when the patient with hypertension also has Afib, CAD, or heart failure.

Here: at least 5 tips on hypertensive disorders during pregnancy.

The ACP and AAFP provide evidence-based recommendations on the benefits and harms of higher vs lower systolic blood pressure targets.

Podcast: Hypertension expert Daichi Shimbo, MD, offers tips on putting SPRINT results into clinical practice.

Dr Bobby Lazzara reviews a new study that suggests reducing fluctuations in blood pressure in older adults could help prevent loss of cognitive function and verbal memory.

Assessment of frailty status, as well as chronological age, should be used to make clinical decisions.

Although results of the hypertension portion of HOPE-3 were disappointing, many caveats are offered to explain the outcome.

The 25% reduction in relative risk seen in patients treated to 120 vs 140 mm Hg corresponds to an absolute risk reduction of 1.6%.

A comprehensive review of the evidence for the work-horse drugs indicates it's not quite time, yet.

Eliminate or keep the annual physical exam, primary care a primary source for children's mental health care, medical screening in dental offices. Here, a summary of the latest concepts in primary care's evolving role.