
A 39-year-old man sought evaluation ofnewly erupted skin lesions on his arms.Ten days earlier he had fallen on hisforearms, but no bruises appeared atthat time.

A 39-year-old man sought evaluation ofnewly erupted skin lesions on his arms.Ten days earlier he had fallen on hisforearms, but no bruises appeared atthat time.

Is there a meaningful percentage of patients who contract Lyme disease but havenone of the early symptoms-neither the rash nor the flu-like symptoms (eg, fever,myalgia, headache, and stiff neck)-and in whom the disease only becomes clinicallyevident in a later stage when it is much harder to treat?

An otherwise healthy 18-month-old boy presented with palpable purpura over the legs, arms, and buttocks; his face, neck, and trunk were spared. The patient was otherwise asymptomatic, alert, and playful. His mother reported that the child had a “stuffy nose and cough” 1 month earlier.

Recently the CDC updated its guidelines for treating sexually transmitted diseases (STDs). This article focuses on genital herpes simplex virus (HSV) infection and human papillomavirus (HPV) infection.

For 1 week, a 2-year-old boy has hadasymmetric erythematous patcheson the anterior trunk. There is nofamily or personal history of eczema.His mother has not used new soapsor detergents recently; there are nopets in the household.

A 76-year-old woman had a 40-year history of rheumatoid arthritis (RA). She had repeatedly refused treatment with disease-modifying drugs, including methotrexate. Nodules began to develop 15 years after the initial diagnosis; they recurred after surgical removal.

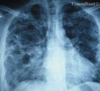
A 72-year-old woman presented for her annual physical examination. She had been treated for tuberculosis 20 years earlier. The patient did not smoke cigarettes; she denied fever, chills, and rigors.

Affected infants present shortly afterbirth with a large bowel obstructionsecondary to transient dysmotility inthe descending colon. Although thecause is unknown, immaturity of thecolonic myenteric plexuses has beendemonstrated in some cases. Morethan 50% of affected infants are bornto mothers with diabetes. Other predisposingfactors include hypoglycemiaand sepsis.

The extent of mucosal or transmural intestinal necrosis varies. Pneumatosis progresses from the submucosa through the muscular layer to the subserosa. The distal ileum and proximal colon are most frequently involved.

A 72-year-old man presented after several months of dyspepsia and 1 day of hematemesis. He was not taking NSAIDs.

The parents of a 2-year-old boy with a 3-day history of fever took him to the emergency department. The child’s temperature fluctuated between 38°C (100.4°F) and 39°C (102.2°F).

For 3 days, a 23-yearold woman had been bothered by pruritic vaginal and vulvar lesions. A cheesy white vaginal discharge was associated with the itching. She denied being sexually active.

Levofloxacin, 500 mg/d, had been prescribed for a 74-year-old woman who had a urinary tract infection. The patient had type 2 diabetes and hypertension. She was allergic to sulfa drugs. Two hours after taking the first oral dose of the antibiotic, painful blisters developed on the lower lip and soft palate.

A 33-year-old man with AIDS presented to the emergency department with fever, dyspnea, cough, and pleuritic chest pain of 3 days’ duration. He had had a Pneumocystis carinii infection 3 years before recently emigrating from the Dominican Republic to the United States.

Numerous plaques, some with yellow crusting and central scarring, had erupted primarily on the face and neck of a 46-year-old man. A single lesion had developed on his left elbow as well. The lesions were initially diagnosed as impetigo, but they failed to resolve after 2 courses of oral cephalexin.

For 3 weeks, a 14-year-old boy had been aware of an enlarging lesion on the back of his hand. He recalled no trauma to the affected area. Further questioning by Dr D. Keith Cobb of Savannah, Ga, revealed that a 4-mm verruca, or wart, had been removed from the same site 6 months earlier with cryosurgery by a different physician.

This condition involves the invagination of a proximalsegment of bowel (the intussusceptum) into a more distalsegment (the intussuscipiens) (A). It occurs mostfrequently in infants between the ages of 5 and 12months and is a leading cause of intestinal obstructionin children aged 2 months to 5 years. Intrauterine intussusceptionis associated with the development of intestinalatresia. The male to female ratio is approximately3:2. Intussusception is slightly more common in whitethan in black children and is often seen in childrenwith cystic fibrosis.

The mother of an 8-year-old girl sought medical care for her daughter who had complained of intermittent chest pain for 3 days. The patient denied nausea, vomiting, and diarrhea. There was no shortness of breath, chills, fever, or diaphoresis.

Persistent bloating, epigastric discomfort, and increased gastric acidity prompted a 47-year-old woman to seek medical care. Gastroesophageal reflux disease was diagnosed; antacids and H2-blockers were prescribed but provided no relief.

Painful erosions developed on the sole of a 14-year-old girl's foot several weeksearlier. Within the last few days, the condition has spread to the other sole.The patient is otherwise healthy and takes no medications. She enjoys playingsoccer and has no history of trauma.

Adhesions (A) can form within theperitoneal cavity after abdominalsurgery, especially if there is an underlyinginflammatory condition suchas appendicitis (B) or inflammatorybowel disease. The incidence of adhesiveintestinal obstruction following alaparotomy is approximately 2%. Mostadhesive obstructions occur within 3months of the laparotomy, and 80%occur within 2 years. Adhesive obstructionstend to be more commonin children than in adults.

Is soaking the feet in an aluminum salt solution an effective therapy fordyshidrosis?

A middle-aged woman had had alow-grade fever, sore throat, and malaisefor 1 week. Her physician prescribedamoxicillin. Three days afterstarting the medication, an asymptomaticerythematous and petechialeruption developed over the patient’sentire body.

A 49-year-old woman was admitted tothe hospital with a high fever ofabrupt onset, rigor, headache, myalgias,and profound prostration. Hertemperature was 41ºC (105.8ºF);blood pressure, 60/40 mm Hg; respirationrate, 30 breaths per minute;and pulse rate, 130 beats per minute.

A 55-year-old woman had a 10-day historyof a nonproductive cough and apainful rash on both palms for 5 days.The eruption subsequently spreadover her entire body.