
Skills quiz: Psoriasis; Molluscum; Lhermitte-Duclos; Gout

Erythema multiforme; Rocky Mountain Spotted Fever; syphilis; pityriasis rosea. . . which of these disorders is the most likely cause of these macular lesions?

Are retinal hemorrhages in an infant always the result of abuse?

Blood sugar and HbA1C are very high; how would you treat this patient's hyperglycemia?

Could this insect be responsible for the recent appearance of multiple itchy papules on the feet and lower legs of a woman who brought in some “bugs” wrapped in a bandana? More details here.

Does an Achille’s tendon rupture, tendonitis, bursitis, or something else underlie sudden heel and lower leg pain? What's your diagnosis? Find more details here.

Find more details here...

A 53-year-old man presented for medical attention after he had used his wife’s eye drops for 3 days for his itchy eyes. The eye drops contained a mixture of neomycin, polymyxin-B, and hydrocortisone. What do you suspect is going on? More details here...

A 58-year-old man presented for care when he noticed a flat, dark area on his left upper arm. The lesion was set against a background of fairly severe photodamage. Family history was positive for melanoma (mother and 1 of 4 sisters). Click here for more details.

The elderly patient has had type 2 diabetes for 15 years is now home bound after a stroke. Her HbA1c is 9.6 and she takes only metformin. Review the rest of her laboratory results and propose a management plan.

Joint hypermobility; “cigarette-paper” skin; keloid scars; and pectus and scoliosis: to what common diagnosis do these disparate findings in 3 different patients point? Click here for more details.

Skin lesions in the outer ear-the pinna, the concha, and the external auditory meatus-may be trivial or potentially malignant. Here we consider a flesh-colored swelling with a central white spicule; a tan papillary lesion; a fluctuant swelling; a red berry-like papule; an elevated pink lesion.

A 26-year-old African American woman was concerned about the gradual onset of mildly tender, but severely distressing facial lesions. She had not sought medical attention previously because of a lack of insurance and assurances by her mother that this was only "bad acne." Does this look like acne to you? Click here for more details.

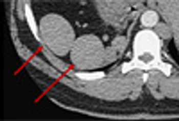
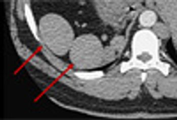
A 47-year-old man sees you for a check-up. He complains only of low energy and attributes it to recent weight gain. But, there is much more.

A 31-year-old woman presents for evaluation of an asymptomatic, firm plaque on the forehead. Lesions of similar size and consistency were present at the nape of the neck and on the chest. The patient was in overall good health. A biopsy performed to rule out cutaneous lymphoma revealed almost pure sheets of plasma cells in the dermis. What are your diagnostic suspicions and what would your next step be? Please click here and add your comments.

A 33-year-old man seeks attention for his abnormal toenails, having already failed full treatment courses of both terbinafine and itraconazole. Review of systems reveals complaints of painful “eye irritation” as well as chronic low back pain severe enough to warrant daily ingestion of aspirin. What diagnoses in addition to onychomycosis would you consider given this picture? Please click here and add your comments.

Swelling and redness have progressed over the past 16 hours in this 5-month-old boy. Would you consider child abuse in your differential diagnosis? We invite your comments. Click here for details.

Contact stomatitis can occur as a result of cinnamon exposure. The condition can easily be managed by withdrawal of the antigen. A short course of systemic corticosteroid can produce dramatic improvement if symptoms are severe.


A 38-year-old openly homosexual man presented with cough and multiple asymptomatic skin lesions on his face.