
This self-limited albeit recurrent condition is often triggered by antigenic stimuli, including infections, most often HSV, and medications.

This self-limited albeit recurrent condition is often triggered by antigenic stimuli, including infections, most often HSV, and medications.

New drugs that treat stubborn illness seen often in primary care lead this group of Top 5 Papers for 2014. Type 2 diabetes, cryptogenic stroke, and hep-C are key targets.

Reactions range from mild and localized to life-threatening and even fatal. All bites must be treated as true emergencies.

Here’s a quiz about enterovirus, PFO, diastematomyelia, the depression/asthma connection, and an HIV complication. Can you answer the 5 questions correctly?

Few primary care clinicians in the US are likely to face this rare but deadly disease in daily practice. But if one of your patients had symptoms or was infected, would you make the decision to help treat?

While it is unlikely that Ebola will become a problem for most clinicians in the US, it is prudent to be prepared. Test your knowledge of this rare, but deadly disease with a clinical scenario.

This is the first Ebola outbreak in an urban setting, which has made control more difficult without the better barrier protection available in the developed world.

The guidelines establish consistency for emergency care workers and reflect lessons learned from the recent experiences of US hospitals.

The enterovirus story continues to evolve: here are 6 things clinicians need to know now.

Optic nerve dysfunction and neurosarcoidosis, orbital inflammatory syndrome, herpes simplex conjunctivitis, iritis caused by neurosyphilis, proptosis-a close look at ocular conditions and underlying causes.

The flu vaccine effectively prevents influenza in pregnant women, regardless of whether they are HIV positive, according to a new study. Results offer clinicians greater assurance to vaccinate all pregnant woman.

Scaling erythema; Epstein-Barr virus infection; one blue, one brown iris . . . test yourself with this 5-question quiz.

It now seems probable that most people with HCV infection can be cured-even if they are co-infected with HIV. But can we bear the cost?

Digital abnormalities; oral candidiasis and HIV-infection; extra dose of MMR; penile rash . . . here: a range of topics to challenge you.

You may have patients with plans for far-flung summer travel. But have they planned for necessary vaccinations? See if you can advise the family in our travel quiz on appropriate prevention for all.

Hepatitis, measles, smallpox, polio, mumps, influenza, Fifth disease-a close look at the value of vaccination past, present, and future.

More than 1 in 7 of the 288 measles cases reported so far this year have led to hospitalization, according to a press release from the CDC. The respiratory disease is serious and highly contagious. Make sure you are familiar with the signs and symptoms. More, here.

It's been a while since "the measles" was a household term in the United States, but 13 states so far this year have seen outbreaks. Have you seen a case lately? Would you recognize the virus prodrome?

More than 100 million children per year now are immunized against vaccine preventable diseases. But 6 of these infections still claim hundreds of thousands of lives-can you spot them in a line-up?

Diagnosing and managing infectious diseases can be challenging. This week’s photo quiz offers a variety of presentations to test your acumen.

Bacterial meningitis presents with the triad of headache, fever, altered mental status. Stiff neck, vomiting, and photophobia may also be present.

There are no guidelines for the workup for classic FUO. Diagnostic modalities are guided by the spectrum of differentials as well as local prevalence of disease.

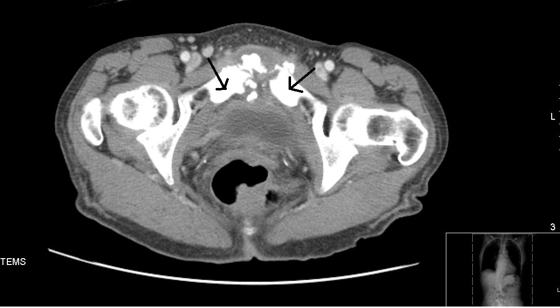
Presenting complaints were fever, nausea, and lower abdominal pain that worsened with walking. Osteomyelitis is not commonly included in a differential for abdominal pain. This case is different.

Potential for infection is everywhere for patients with alcoholic cirrhosis.

Persons who are obese are at increased risk for catching the flu and other potentially serious respiratory diseases.