
See what you know about optimal co-management when the patient with hypertension also has Afib, CAD, or heart failure.

See what you know about optimal co-management when the patient with hypertension also has Afib, CAD, or heart failure.

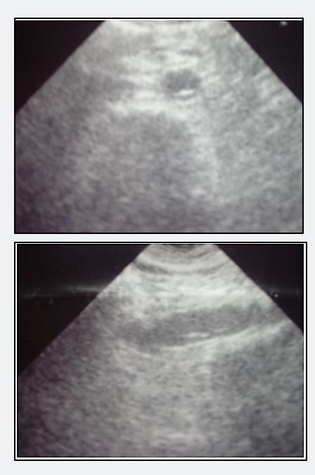
Epigastric pain x3 days in an otherwise healthy middle-aged man prompts an in-office abdominal ultrasound. What do you see?

A quick review of: a great mobile ECG reference; a gout Dx tool; a contraception counseling aid; FPNotebook on mobile; and Klara.

British patients with chest pain who went undiagnosed in primary care had an increased risk of fatal/non-fatal CV events for at least 5 years.

Is exercise safe in HF patients who have AF? Results of the HF-ACTION study are summarized in this short slide show.

Primary care can do more to help reduce gout morbidity, says a new review-plus 4 more studies on gout treatment and prevention.

A study of a global registry finds that prescriptions for direct oral anticoagulants have now surpassed those for VKAs. What do you Rx?

Patients who require dose adjustment when taking direct oral anticoagulants have not been well studied. This large study is a good start.

Several clinical studies have added some clarity to the potential risks. Scroll through the slides for recent findings.

In these complicated patients, should warfarin or a novel oral anticoagulant be chosen for stroke prevention?

Is aspirin safe as antithrombotic therapy in pregnancy? Is electrocardioversion first-line treatment? Get the answers and other reminders, here.

Cardioprotection, diabetes anxiety, and hypoglycemia protection are just a few of the areas amended with new guidance.

The ACP and AAFP provide evidence-based recommendations on the benefits and harms of higher vs lower systolic blood pressure targets.

Results of the PRECISION study are embraced by some and soundly criticized by others. What would you tell your osteoarthritis patients?

Implantable cardiac monitoring devices now detect "silent" AF. But now that we "hear" it, what should we do?

A signal for increased risk of hemorrhage when the NOAC is coadministered with 2 statins comes as a surprise to some.

Tachy-brady syndrome can be a particular management challenge in an elderly patient. How would you manage Mrs Robertson?

Concurrence of AF and SSS is common in older patients and presents a treatment conundrum. Can you balance safety and efficacy in this patient?

The "statin war" is about ossified ideologies and asks medicine's most primal question-"what is the role of medicine in society?"

A new study found that commonly prescribed antihypertension drugs affect mood disorders--either positively or negatively.

Do doctors’ politics affect treatment decisions on, for example, drug use, firearms, and sexual behavior? Do yours?

Take this quick quiz to see what you know about the latest research findings.

As the prevalence increases, obesity continues to grow as a major health problem. Here are brief summaries of the latest research findings.

Several recent findings have enhanced our understanding of medicine and mortality. Take this quick quiz to see what you know.

Results of the MOOD-HF trial join those of 2 others that looked to boost mood and survival in patients with heart disease.