
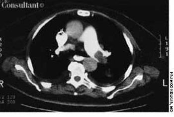
One of the keys to successfully managing acute pulmonary embolism (PE) is to quickly and reliably identify which patients require anticoagulant therapy. A diagnostic algorithm that combines clinical probability, D-dimer results, and CT findings appears to be quite effective in achieving this, according to a multicenter study conducted in the Netherlands.






























































































































































































































































































