
The CHA2DS2-VASc score improves risk determination by incorporating age 65 to 74 years, female sex, and history of vascular disease.

The CHA2DS2-VASc score improves risk determination by incorporating age 65 to 74 years, female sex, and history of vascular disease.

Heart disease and stroke risk prediction tools may be more useful in predicting cognitive decline in middle-aged patients than a dementia risk test, according to a new study.

Persons who eat a high-fiber diet experience a lower risk of first-time stroke, according to a new meta-analysis that supports current guidelines to increase fiber consumption.

Interruption of anticoagulation with rivaroxaban or warfarin should be bridged with an agent such as low-molecular weight heparin.

Depending on the specific type of event, stroke at age 50 years or younger increased mortality at least 3-fold.

Sleep apnea in adults aged 65 years or older posed an increased risk for silent cerebral infarction and lacunar infarction.

Typical interventions in persons without CKD are essential. SHARP and TNT have added to our knowledge. Aggressive cholesterol lowering (probably also affecting LDL particle number as well as traditional measures of LDL) seems to afford better outcomes by lessening residual risk in those with chronic kidney disease.

Suicidal ideation among stroke survivors (7.8%) was higher than among those with a history of MI (6.2%), diabetes (5.2%), and cancer (4.1%).

Two studies have demonstrated novel research directions for LDL-C and LDL-P. The first revealed that when LDL-C and LDL-P are concordant (that is either both high, normal, or low), either can serve as a good measure of CV risk. However, when they are discordant, cardiovascular events increase.

PFO can be detected in 10% to 15% of the population by transthoracic echocardiogram. Autopsy studies show a prevalence of PFO of approximately 26%.

Older patients with chronic obstructive pulmonary disease are at higher risk for plaque formation in the carotid artery, increasing their risk of stroke.

Stroke survivors who smoke cigarettes are at higher risk for additional strokes, heart attacks, and death than those who never smoked, according to research reported by the American Heart Association.

Autosomal dominant polycystic kidney disease (ADPKD) is common. Presenting symtpoms include hypertension, hematuria, proteinuria, and renal insufficiency.

The elderly patient has had type 2 diabetes for 15 years is now home bound after a stroke. Her HbA1c is 9.6 and she takes only metformin. Review the rest of her laboratory results and propose a management plan.

Would you treat the elevated A1C aggressively-and what would your target level be? Would you consider statins? Dr Shahady invites your insights.



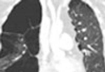
A 54-year-old man presented to the ED with palpitations identified as atrial flutter and RVR. Medical history included stage IV renal-cell carcinoma, end-stage COPD, NYHA class IV heart failure, and recent pulmonary embolism. A CT scan of the thorax was ordered.

A 38-year-old man with a history of alcoholism, intravenous drug use, and cerebrovascular accident was referred for assessment of possible endocarditis, based on history, fever 39 °C (102.9 °F) and mildly elevated troponin level.

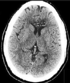
A 59-year-old woman had aphasia and right-sided weakness after a routine total knee replacement. CT and MRI scans revealed a large left middle cerebral artery infarct. A CT angiogram showed no significant disease of the cerebrovascular arteries. Test results for the lupus anticoagulant were positive. A venous study of the legs showed no deep venous thrombosis. She was treated with warfarin and aspirin and discharged. After speech and physical therapy, she had mild residual aphasia.

On December 18, 2005, Ariel Sharon, Prime Minister of Israel, experienced the sudden onset of aphasia. Despite being overweight, he had none of the traditional risk factors for cerebrovascular disease-hypertension, history of smoking, diabetes, or elevated cholesterol levels.

A 50-year-old man was brought to the emergency department (ED) after a witnessed syncopal event. He was awake but confused and unable to provide a history.

During an interval examination, a new pulsatile mass is detected slightly above the umbilicus of a 72-year-old man with chronic obstructive pulmonary disease (COPD). He has not noticed any abdominal pain or any other new symptoms.

Despite a lower prevalence of traditional risk factors-such as hypertension and diabetes-patients with inflammatory bowel disease (IBD) have a higher incidence of stroke, said researchers at the University of Miami.

Along with the release of revised guidelines, several pharmacological therapies have become available or are under investigation to help improve outcomes in patients with osteoporosis.