
Neurological disorders have been considered a significant threat to public health for some time. Take a look at these facts and figures.

Neurological disorders have been considered a significant threat to public health for some time. Take a look at these facts and figures.

In its classic form, ALS affects motor neurons at 2 or more levels supplying multiple regions of the body.

Charles Bonnet syndrome is an uncommon condition causing visual hallucination in patients who do not have mental illness

The drive to screen older persons for minor memory changes is leading to unnecessary investigation and potentially harmful treatment, according to some experts.

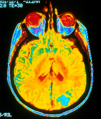
Bilateral strokes of the corpus callosum are uncommon because of the rich blood supply of this structure from three main arterial systems.

Skin eruptions, MS risk, and a pain in the back: 5 new questions-your Dxs?

As biomarkers to detect signals of Alzheimer disease improve at providing clinically meaningful information, a majority of Alzheimer researchers support disclosing results to research subjects who have these tests.

Urinary protein levels may be an early marker of future cognitive decline in patients with type 2 DM and normal kidney function, according to a new study.

A gene variant strongly associated with development of type 2 diabetes mellitus appears to respond to a Mediterranean diet to prevent stroke.

Clipping the hardened toenails of a mentally ill patient made me wonder whose hands care for the feet of countless others who can't care for themselves.

The current study may help create new pathways for better understanding and developing more effective and more specific medications.

This agent has a large number of drug-drug and drug-food interactions, and there is a need for increased INR monitoring.

Brain infarcts among crack cocaine users may be secondary to large cerebral artery vasospasm with secondary intravascular thrombosis (with or without distal embolization).

Nonadherence to antihypertensive drug therapy increased risk of stroke, hospitalization for stroke and stroke-related mortality.

The coexistence of focal seizures and secondary generalized seizures in this patient and the respective EEG and MRI findings constitute her peculiar epilepsy syndrome.

One simple addition, basketball, is doing more for health and mental health in this community than months or years of therapy or any number of medications or office visits with me.

Syncope accompanied by a sensation of coldness preceded a fall in this 67-year-old woman. She had a similar experience 6 months earlier.

Mid-life hypertension is a risk factor for cognitive decline. A 10 mm Hg rise in systolic pressure led to an intermediate cognitive decline in 7% of the cohort on follow-up.

The sphenopalatine ganglion (SPG) has recently been the target of a novel treatment for patients with cluster headaches. A sham-controlled randomized study of an implantable stimulator of the SPG offers encouraging preliminary results.

This week’s questions challenge your dermatologic and radiologic skills, and then some. See how you fare…

Images: Horner syndrome, neurofibroma, sciatica, ulnar neuropathy, intradural extramedullary schwannoma (neurinoma), moyamoya syndrome and stroke.

A 53-year-old man became concerned when ever-increasing numbers of painful oral lesions developed on the buccal mucosa and tongue. A bland diet did not help. What does this look like to you? Test your clinical acumen with this week's quiz questions.

Researchers have devoted themselves to devising ways of blocking the production or accumulation of beta-amyloid. Now scientists are studying other protein targets, including tau.

Most doctors are burned out, overworked, or exhausted. Physicians rarely ask for help.

Mucormycosis, an angioinvasive yeast infection of the Mucorales order of the class of Zygomycetes, often grows in patients with diabetes mellitus, especially in the presence of diabetic ketoacidosis.