
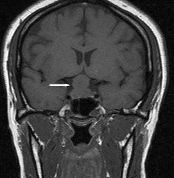
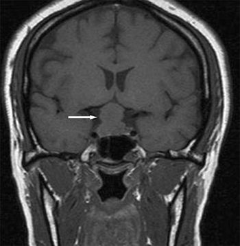
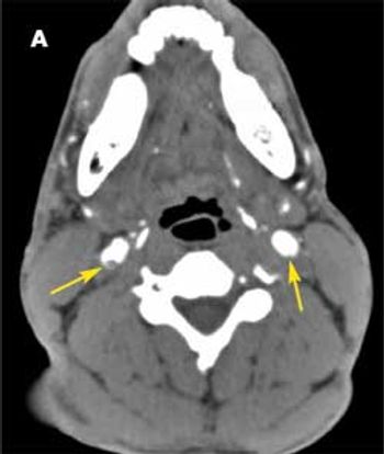
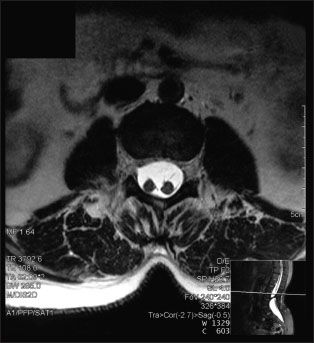
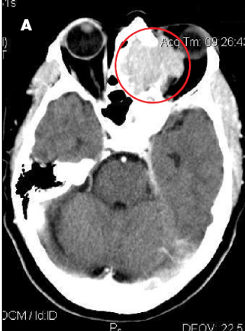
A 26-year-old woman at 30 weeks’ gestation presented to the emergency department with a throbbing frontal headache of 1 month’s duration. She had also had peripheral blurred vision for the past 2 weeks. Acetaminophen initially decreased her pain but was no longer effective. She had had a previous miscarriage.