
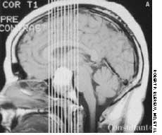
A 29-year-old woman is brought to the emergency department after a caraccident. She complains of head pain and has a contusion over the posterioraspect of the right temporal bone and right occipital bone; a small amount ofblood flows from the right external auditory canal. She has only a vague recollectionof the accident. Past medical history-although difficult to ascertain-seems noncontributory.














































































































































































































































































