
After suffering with a severe, disabling headache for 2 weeks, a 20-year-old soldier sought medical treatment. He had no significant medical history other than his 6-year history of smoking.


After suffering with a severe, disabling headache for 2 weeks, a 20-year-old soldier sought medical treatment. He had no significant medical history other than his 6-year history of smoking.

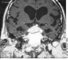
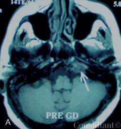
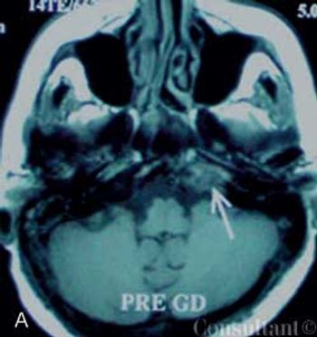
Increasingly frequent headaches and blurred vision had affected a 74-year-old woman for several months. Double vision, which initially occurred only when the patient looked to the right, had started to affect vision when she looked straight ahead. Her eye movements when looking to the left were normal; the right eye, however, did not go beyond midline when looking to the right. Upward and downward gaze were not affected.

A 66-year-old man presented with numerous cutaneous tumors. He had dementia and thus was unable to provide an accurate history.

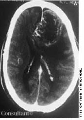
A 57-year-old man complained of a severe headache of sudden onset while he was lifting heavy boxes. Within minutes, he collapsed and became unconscious. On arrival at the emergency department, the patient was deeply comatose. His pupils were 7 mm, fixed, and unreactive to light; brainstem reflexes were absent, and he was unresponsive to noxious stimulation. His blood pressure was 210/120 mm Hg; he had no known history of hypertension.

While doing yard work, a man experienced acute, severe, burning pain on relatively brief contact with the caterpillar Megalopyge opercularis. The lesion shown in the photograph developed subsequently. Each red papule represents the site of direct cutaneous envenomation by the insect's poisonous body hairs. The caterpillar can vary in color from white to dark brown, depending on the surroundings and time of year. The fuzzy hairs resemble a cat’s fur; hence the nickname “puss.”

A 75-year-old woman with a bioprosthetic aortic valve, who had undergone surgical repair of an aortic root aneurysm 9 months earlier was hospitalized with fever, headache, and altered mental status of 1-day's duration.

A 37-year-old man presented with fever, chills, myalgia, headache, and left-sided pleurisy of 2 weeks' duration. He also complained of weight loss and loss of appetite. The patient had recently returned from a family visit to Missouri.

32-year-old man presents with a 4-day history of fever (temperature as high as 38.8 C to 39.4 C with severe rigors, chills, and profuse night sweats; generalized myalgias, including dull, aching headache; and dry cough.

A 54-year-old woman with a history of hypertension presented with a worsening headache and a left hemisensory defect. A CT scan of her head without contrast showed a right parietal hemorrhage with spreading edema; the masslike effect caused shifting of the midline to the contralateral side. The patient gradually became comatose and required intubation for airway protection. Intravenous corticosteroids were administered to decrease the effect of the lobar hemorrhage. Fever developed 3 days after admission.

ABSTRACT: The management of chronic daily headache is difficult and complex. Those affected have a sensitive nervous system, and their predisposition for a low tolerance to sensory stimuli appears to be inherited. Under appropriate conditions, the equilibrium or balance between bombardment from painful stimuli and the regulatory systems that inhibit those stimuli is disrupted, allowing painful stimuli to become manifest at a greater intensity than in the nonmigraineur. Successful management depends on close adherence to nonpharmacologic approaches and pharmacologic regimens that desensitize the system and restore equilibrium. Comorbid conditions must be identified and treated as well.

A 71-year-old woman presents to the emergency department accompanied by her daughter. The patient woke up in the morning "feeling fine" and then complained of a headache. She became progressively less oriented over the next 45 minutes.

A 68-year-old man presents to the emergency department with diplopia and headache of acute onset accompanied by nausea and vomiting.

A 47-year-old man presented to theemergency department with adrooping right eye. He also complainedof a constant right-sidedheadache of 1 week’s duration; thepain involved the temporal region.Another physician had diagnosednew-onset migraine and prescribedsumatriptan, which failed to alleviatethe pain. The patient had no weakness,vomiting, or double vision.Both his father and his son hadMarfan syndrome.

A 65-year-old woman presented withdouble vision of 2 days’ duration.The diplopia mainly occurred whenshe looked toward her right. She deniednausea, vomiting, vision loss,headache, change in mental status,facial pain, weakness in the extremities,and sinus infection. She had nohistory of head trauma or systemicmalignancy.

The patient is a 47-year-old man who began to experiencefrequent headaches about 6 years before hepresented to a neurology clinic. The headaches rapidly progressedto become daily and almost constant. He describeda sensation of dull pressure in both temples that was presenton or within a few hours of awakening and that persistedfor the remainder of the day. He experienced a moreintense, disabling, throbbing pain in the same locationonce or twice a week, with photophobia and nausea, thatmight last 2 to 3 days. The patient took 2 to 6 over-thecounter(OTC) analgesic tablets each day-usually200 mg of ibuprofen. These would dull but not terminatethe pain.

ABSTRACT: When you approach a patient with a neurologic complaint, look for abnormal postures and bodily asymmetries. Careful history taking puts the patient's complaint in context and gives direction to the clinical investigation. Remember that a change in the character of an existing condition requires assessment as a new complaint. The mental status evaluation, at a minimum, considers the patient's level of alertness and orientation, including speech and comprehension. Distinguish among delirium, dementia, and psychosis, and avoid making a psychiatric diagnosis until organic causes have been excluded. Cranial nerves II to VIII are the most pertinent to the neurologic screening examination. The evaluation of cranial nerves II, III, IV, and VI is particularly important in patients with headache or visual disturbances and suspected intracranial lesions.

An 83-year-old woman is brought by her daughter for evaluation becauseof increasing confusion during the past few days. The patienthas early Alzheimer dementia, hypertension, and type 2 diabetes. She takes donepezil, 10 mg/d;lisinopril, 5 mg/d; and glipizide, 5 mg bid. She is unable to bathe and dress herself as well as previously,has been crying for no apparent reason, and has lost her appetite.

A 60-year-old woman with hypertension, diabetes mellitus, and intermittentatrial fibrillation presents with nausea, diaphoresis, dizziness, and globalweakness that has lasted 1 hour. She denies chest pain, dyspnea, syncope,vomiting, diarrhea, blood loss, and headache; there is no vertigo. Medicationsinclude acetaminophen, digoxin, diltiazem, glipizide, hydrochlorothiazide,irbesartan, metformin, pioglitazone, and warfarin.

A 39-year-old man complains of severe daily headaches that he describes as throbbing and "burning," with a sensationof pressure. He rates the severity of his pain as 8 to 10 on a 10-point visual analog scale (VAS) in which 10 isthe most severe. The mean duration of the headaches is 12 hours, and the mean frequency is 5 days per week. Betweenthe episodes of severe headache, he has constant "minor" headaches that are not as severe (mean severity, 3 to 5 on a10-point VAS). Within the past 5 months, he has never been totally free of headache.

ain management is a commonand challenging aspect of caringfor elderly patients. The principlesthat guide therapeutic pain managementin these persons are differentfrom those used in the treatmentof younger persons.

The patient is a 56-year-old man who presents with daily headaches that occurbehind the right eye, right temple, and occasionally on the right side of theforehead. He has never experienced this type of headache on the left side. Hedescribes the pain as “stabbing,” “throbbing,” and occasionally “burning.”He rates the intensity of the pain a 7 on a 10-point visual analog scale onwhich 10 is the most severe.

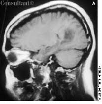
A 69-year-old man with an acute severe headache and nausea was brought to the emergency department. The patient was neurologically intact; an intracerebral hemorrhage was suspected.

Excessive belching, abdominal bloating, and flatulence caused an 89-year-old woman to seek medical attention. She reported that these previously mild and intermittent symptoms of 20 years’ duration had worsened during the last 2 years.

For 2 weeks, a 59-year-old woman had experienced weakness on the left side of her face. She described her appearance as "deviated" and complained of dribbling from the corner of her mouth and difficulty in chewing. The patient was unable to close her left eye and said that noises sounded unpleasantly loud and distorted in the left ear. She denied earache, vertigo, fever, headache, and rash.

Many patients who present to the emergency department(ED) with severe headache request a narcotic to relieve thepain.