
A multi-step inflammatory cascade appears to connect hyperglycemia and brain dysfunction.

A multi-step inflammatory cascade appears to connect hyperglycemia and brain dysfunction.

Diseases of the nervous system and sense organs-particularly eye and ear disorders-are prime diagnoses that bring patients to your primary care practice.

Insomnia is the predominant sleep disorder seen in autism spectrum disorder. The deficits of each condition compound those of the other.

By asking and answering these questions, I learned some new tricks that can help you help migraine sufferers.

“Lower is better” regardless of the lipid-lowering agent used, publication confirms.

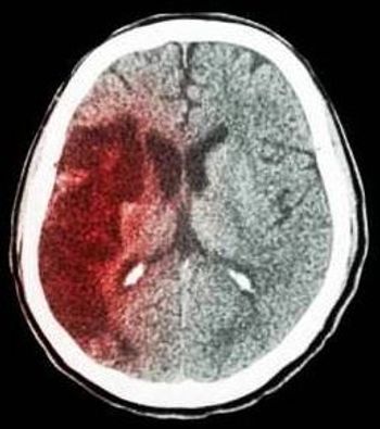
The patient denies vertigo, hearing change, headache or ear pain. Physical exam and past medical history are benign. What does the brain MRI tell you?

Signs and symptoms may raise suspicion for a posterior circulation stroke.

New research suggests that depression and stroke share common cumulative etiologic mechanisms.

It’s time to rethink aspirin; there’s optimism about the PCSK9 inhibitors; and new help for people with valvular heart disease. What else is new in cardiology?

No monitoring necessary; don't use them before electrical cardioversion; and count them out for periprocedural use during AF ablation. Really?

Heart scans to ID stroke risk, insomnia reduces quality of life, air pollution may be a cause, women think of stroke as a man’s disease-see these and other developments in stroke science and patient care.

What brings patients to your office-and not the specialty office down the street? Insights in this slideshow.

Underweight means highest risk, say researchers.

Stroke and TIA rates are down and fewer patients arrive by ambulance in national emergency department survey.

Triptan and ergotamine drugs are staples of acute migraine treatment. But questions about their cardiovascular safety linger in the absence of clear evidence. A short slide show looks at what we do know.

Here’s a look at what’s new and interesting on the Web for health care professionals.

The FDA will require labels on prescription testosterone products that disclose a possible increased risk of heart attacks and strokes. A “black box” warning won’t be added.

Health expectations and standards of safety in this part of the world are clearly different from what most of us are used to. But it is my impression that “laying on of hands” offers encouragement and hope.

Better understanding of migraine causes and related issues could result in enhanced patient care and prevention, but clinicians face some serious challenges-here are 5.

This adult beverage may actually provide health benefits, specifically for Alzheimer, Parkinson, and other neurological conditions.

Patients with Afib whose CHA2DS2-VASc score is 1 have a lower risk for ischemic stroke than previously thought and are not likely to benefit from anticoagulation therapy.

There is room to improve evidence-based aspirin use for primary prevention of stroke and other cardiovascular risks. Details here.

Cancer may be an under-appreciated, but common risk factor for stroke, which is most common the first month after cancer diagnosis.

The merging of primary psychiatric care with primary medical care is urgently needed. Here’s why.

The risk for major bleeding and GI hemorrhage in patients taking dabigatran was greater than in those taking warfarin; warfarin, however, was associated with a greater risk of intracranial hemorrhage.